The [KO Validated] TMED10 Antibody (CAB18090) is a high-quality antibody developed for reliable detection and analysis of target proteins. This rabbit-derived antibody is highly specific for human samples and has been validated for use in Western blot applications. By binding to the TMED10 protein, this antibody enables the detection and analysis of TMED10 in various cell types, making it ideal for investigations in cell biology and membrane trafficking.TMED10, also known as p24 family protein, plays a crucial role in the transport of proteins and lipids within cells, contributing to cellular homeostasis and organelle function.
This antibody is validated for use in WB, IHC-P, IF/ICC, ELISA applications and has demonstrated reactivity against Human, Mouse, Rat samples.
Product Name:
[KO Validated] TMED10 Antibody
SKU:
CAB18090
Size:
20μL, 100μL
Reactivity:
Human, Mouse, Rat
Conjugate:
Unconjugated
Immunogen:
Recombinant protein (or fragment).This information is considered to be commercially sensitive.
This gene is a member of the EMP24/GP25L/p24 family and encodes a protein with a GOLD domain. This type I membrane protein is localized to the plasma membrane and golgi cisternae and is involved in vesicular protein trafficking. The protein is also a member of a heteromeric secretase complex and regulates the complex's gamma-secretase activity without affecting its epsilon-secretase activity. Mutations in this gene have been associated with early-onset familial Alzheimer's disease. This gene has a pseudogene on chromosome 8.
Purification Method
Affinity purification
Gene ID
10972
RRID
AB_2861884
Buffer Information
Store at -20℃. Avoid freeze / thaw cycles. Buffer: PBS with 0.09% Sodium azide,50% glycerol,pH7.3.
Western blot analysis of various lysates using TMED10 Rabbit pAb (CAB18090) at 1:1000 dilution. Secondary antibody: HRP-conjugated Goat anti-Rabbit IgG (H+L) (CABS014) at 1:10000 dilution. Lysates/proteins: 25μg per lane. Blocking buffer: 3% nonfat dry milk in TBST. Detection: ECL Basic Kit (AbGn00020). Exposure time: 90s.
Western blot analysis of lysates from wild type (WT) and TMED10 knockout (KO) 293T cells, using [KO Validated] TMED10 Rabbit pAb (CAB18090) at 1:1000 dilution. Secondary antibody: HRP-conjugated Goat anti-Rabbit IgG (H+L) (CABS014) at 1:10000 dilution. Lysates/proteins: 25μg per lane. Blocking buffer: 3% nonfat dry milk in TBST. Detection: ECL Basic Kit (AbGn00020). Exposure time: 10s.
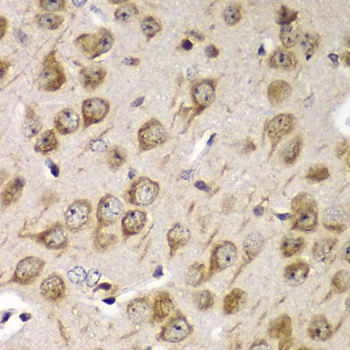
Immunohistochemistry analysis of paraffin-embedded Mouse brain using TMED10 Rabbit pAb (CAB18090) at dilution of 1:100 (40x lens). Microwave antigen retrieval performed with 0.01M PBS Buffer (pH 7.2) prior to IHC staining.
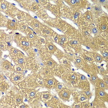
Immunohistochemistry analysis of paraffin-embedded Human liver damage using TMED10 Rabbit pAb (CAB18090) at dilution of 1:100 (40x lens). Microwave antigen retrieval performed with 0.01M PBS Buffer (pH 7.2) prior to IHC staining.