The Cytokeratin 18 (KRT18) Antibody (CAB1022) is a high-quality antibody developed for reliable detection and analysis of target proteins. This antibody, produced using rabbits, exhibits high reactivity with human samples and has been validated for use in Western blotting applications. By binding specifically to KRT18 protein, this antibody enables the detection and analysis of KRT18 in various cell types, making it ideal for studies in cell biology, cancer research, and regenerative medicine.Keratin 18 is known for its role in maintaining the structural integrity of epithelial cells and is often used as a biomarker for epithelial cell differentiation and function. Abnormal expression of KRT18 has been linked to various diseases, including liver disease, pancreatic cancer, and inflammatory disorders.
This antibody is validated for use in WB, IHC-P, IF/ICC, ELISA applications and has demonstrated reactivity against Human, Mouse, Rat samples.
Product Name:
Cytokeratin 18 (KRT18) Antibody
SKU:
CAB1022
Size:
20μL, 100μL
Reactivity:
Human, Mouse, Rat
Conjugate:
Unconjugated
Immunogen:
Recombinant protein (or fragment).This information is considered to be commercially sensitive.
KRT18 encodes the type I intermediate filament chain keratin 18. Keratin 18, together with its filament partner keratin 8, are perhaps the most commonly found members of the intermediate filament gene family. They are expressed in single layer epithelial tissues of the body. Mutations in this gene have been linked to cryptogenic cirrhosis. Two transcript variants encoding the same protein have been found for this gene.
Purification Method
Affinity purification
Gene ID
3875
RRID
AB_2757743
Buffer Information
Store at -20℃. Avoid freeze / thaw cycles. Buffer: PBS with 0.09% Sodium azide,50% glycerol,pH7.3.
Western blot analysis of various lysates, using Cytokeratin 18 (KRT18) Rabbit pAb (CAB1022) at 1:3000 dilution. Secondary antibody: HRP-conjugated Goat anti-Rabbit IgG (H+L) (CABS014) at 1:10000 dilution. Lysates/proteins: 25μg per lane. Blocking buffer: 3% nonfat dry milk in TBST. Detection: ECL Basic Kit (AbGn00020). Exposure time: 0.5s.
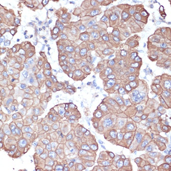
Immunohistochemistry analysis of paraffin-embedded Human liver cancer using Cytokeratin 18 (KRT18) Rabbit pAb (CAB1022) at dilution of 1:100 (40x lens). Microwave antigen retrieval performed with 0.01M PBS Buffer (pH 7.2) prior to IHC staining.
Immunofluorescence analysis of HepG2 cells using Cytokeratin 18 (KRT18) Rabbit pAb (CAB1022) at dilution of 1:300 (40x lens). Secondary antibody: Cy3-conjugated Goat anti-Rabbit IgG (H+L) (CABS007) at 1:500 dilution. Blue: DAPI for nuclear staining.