The Ku80 Monoclonal Antibody (CAB12338) is a high-quality antibody developed for reliable detection and analysis of target proteins. This monoclonal antibody is specifically designed for use in various applications including Western blotting, immunofluorescence, and immunoprecipitation.Ku80 is a critical component of the DNA-dependent protein kinase complex, which plays a crucial role in repairing double-stranded DNA breaks. Dysregulation of Ku80 has been implicated in various diseases, including cancer and autoimmune disorders.
This antibody is validated for use in WB, IHC-P, IF/ICC, IP, ELISA applications and has demonstrated reactivity against Human samples.
Product Name:
Ku80 Monoclonal Antibody
SKU:
CAB12338
Size:
20μL, 100μL
Reactivity:
Human
Clone Number:
ARC0706
Conjugate:
Unconjugated
Immunogen:
Synthetic peptide. This information is considered to be commercially sensitive.
0.5μg-4μg antibody for 200μg-400μg extracts of whole cells
ELISA
Recommended starting concentration is 1 μg/mL. Please optimize the concentration based on your specific assay requirements.
Synonyms:
KU80, KUB2, Ku86, NFIV, KARP1, KARP-1, Ku80
Positive Sample:
HeLa, A-549, MCF7
Cellular Localization:
Chromosome, Nucleus, Nucleolus.
Calculated MW:
83kDa
Observed MW:
86kDa
The protein encoded by this gene is the 80-kilodalton subunit of the Ku heterodimer protein which is also known as ATP-dependant DNA helicase II or DNA repair protein XRCC5. Ku is the DNA-binding component of the DNA-dependent protein kinase, and it functions together with the DNA ligase IV-XRCC4 complex in the repair of DNA double-strand break by non-homologous end joining and the completion of V(D)J recombination events. This gene functionally complements Chinese hamster xrs-6, a mutant defective in DNA double-strand break repair and in ability to undergo V(D)J recombination. A rare microsatellite polymorphism in this gene is associated with cancer in patients of varying radiosensitivity.
Purification Method
Affinity purification
Gene ID
7520
RRID
AB_2861657
Buffer Information
Store at -20℃. Avoid freeze / thaw cycles. Buffer: PBS containing 50% glycerol and 0.05% BSA, preserved with proclin300 or sodium azide, pH 7.3.
Western blot analysis of various lysates, using Ku80 Rabbit mAb (CAB12338) at 1:1000 dilution. Secondary antibody: HRP-conjugated Goat anti-Rabbit IgG (H+L) (CABS014) at 1:10000 dilution. Lysates/proteins: 25μg per lane. Blocking buffer: 3% nonfat dry milk in TBST. Detection: ECL Basic Kit (AbGn00020). Exposure time: 5s.
Immunohistochemistry analysis of paraffin-embedded Human cervix tissue using Ku80 Rabbit mAb (CAB12338) at a dilution of 1:500 (40x lens). High pressure antigen retrieval performed with 0.01M Tris-EDTA Buffer (pH 9.0) prior to IHC staining.
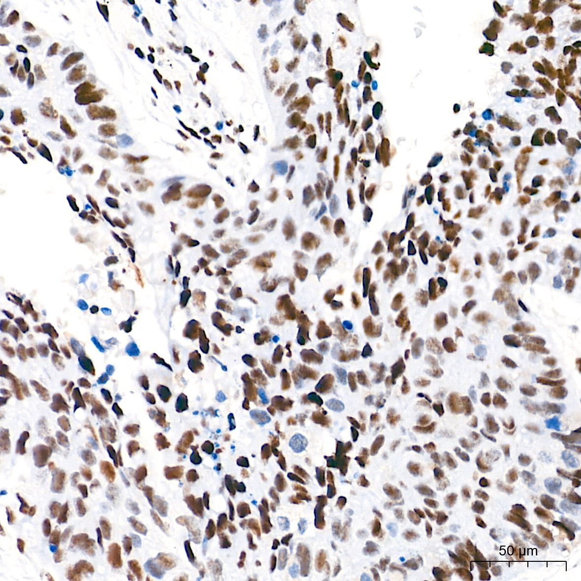
Immunohistochemistry analysis of paraffin-embedded Human lung cancer tissue using Ku80 Rabbit mAb (CAB12338) at a dilution of 1:500 (40x lens). High pressure antigen retrieval performed with 0.01M Tris-EDTA Buffer (pH 9.0) prior to IHC staining.
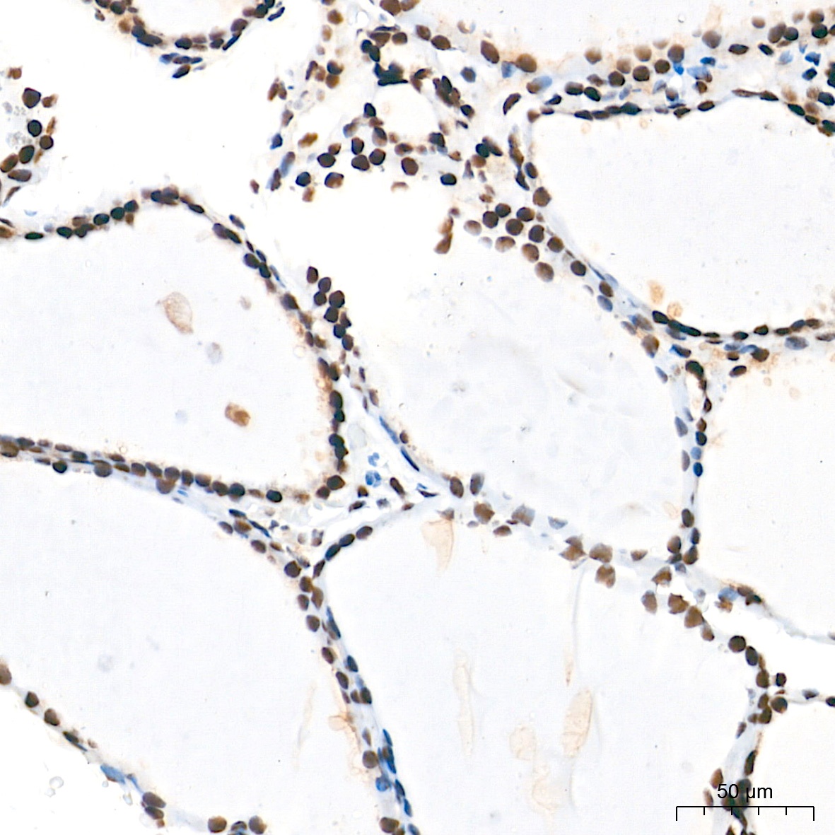
Immunohistochemistry analysis of paraffin-embedded Human thyroid tissue using Ku80 Rabbit mAb (CAB12338) at a dilution of 1:500 (40x lens). High pressure antigen retrieval performed with 0.01M Tris-EDTA Buffer (pH 9.0) prior to IHC staining.
Immunoprecipitation analysis of 300 μg extracts of HeLa cells using 3 μg Ku80 antibody (CAB12338). Western blot was performed from the immunoprecipitate using Ku80 antibody (CAB12338) at a dilution of 1:1000.