L3MBTL4 Antibody is a premium polyclonal that offers outstanding performance and reliability for demanding research applications. Rigorously validated for ELISA, WB, IHC, this antibody ensures consistent, reproducible results across multiple experimental platforms. Demonstrates excellent reactivity with Human, Rat samples, providing researchers with confidence in cross-species compatibility. Conveniently packaged in 50ug format to meet your experimental needs. For optimal performance, store at -20°C or -80°C and maintains stability for 12 months. Backed by rigorous quality control testing to ensure superior performance in your critical research applications.
Product Name:
L3MBTL4 Antibody
SKU:
PACO38562
Size:
50μg
Isotype:
IgG
Host Species:
Rabbit
Reactivity:
Human, Rat
Immunogen:
Recombinant Human Lethal(3)malignant brain tumor-like protein 4 protein (1-270AA)
Immunogen Species:
Homo sapiens (Human)
Uniprot No:
Q8NA19
Form:
Liquid
Tested Applications:
ELISAWBIHC
Recommended Dilution:
Application
Recommended Dilution
WB
1:500-1:5000
IHC
1:20-1:200
Synonyms:
L3MBTL4 antibody, Lethal(3)malignant brain tumor-like protein 4 antibody, H-l(3)mbt-like protein 4 antibody, L(3)mbt-like protein 4 antibody, L3mbt-like 4 antibody
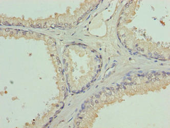
Immunohistochemistry of paraffin-embedded human testis tissue using PACO38562 at dilution of 1:100
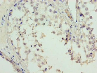
Immunohistochemistry of paraffin-embedded human prostate cancer using PACO38562 at dilution of 1:100
Western Blot Positive WB detected in: Rat brain tissue All lanes: L3MBTL4 antibody at 3µg/ml Secondary Goat polyclonal to rabbit IgG at 1/50000 dilution Predicted band size: 72, 62 kDa Observed band size: 72 kDa