The LHB Antibody (CAB3000) is a high-quality antibody developed for reliable detection and analysis of target proteins. This antibody, produced in rabbits, is highly specific to human samples and is validated for use in various applications, including Western blotting.LHB is primarily produced in the pituitary gland and is essential for ovulation, testosterone production, and overall reproductive health. Dysregulation of LHB levels can lead to disorders such as infertility, polycystic ovary syndrome, and hypogonadism. By using the LHB Polyclonal Antibody, researchers can accurately detect and quantify LHB levels in different tissues and cell types, providing valuable insights into reproductive physiology and potential diagnostic markers for related conditions.
This antibody is validated for use in WB, IHC-P, ELISA applications and has demonstrated reactivity against Human, Mouse, Rat samples.
Product Name:
LHB Antibody
SKU:
CAB3000
Size:
20μL, 100μL
Reactivity:
Human, Mouse, Rat
Conjugate:
Unconjugated
Immunogen:
Recombinant protein (or fragment).This information is considered to be commercially sensitive.
Sequence:
Email for sequence
Tested Applications:
WBIHC-PELISA
Recommended Dilution:
WB
1:500 - 1:2000
IHC-P
1:2000 - 1:8000
ELISA
Recommended starting concentration is 1 μg/mL. Please optimize the concentration based on your specific assay requirements.
Synonyms:
CGB4, HH23, LSH-B, LSH-beta, LHB
Positive Sample:
K-562
Cellular Localization:
Secreted.
Calculated MW:
15kDa
Observed MW:
18kDa
This gene is a member of the glycoprotein hormone beta chain family and encodes the beta subunit of luteinizing hormone (LH). Glycoprotein hormones are heterodimers consisting of a common alpha subunit and an unique beta subunit which confers biological specificity. LH is expressed in the pituitary gland and promotes spermatogenesis and ovulation by stimulating the testes and ovaries to synthesize steroids. The genes for the beta chains of chorionic gonadotropin and for luteinizing hormone are contiguous on chromosome 19q13.3. Mutations in this gene are associated with hypogonadism which is characterized by infertility and pseudohermaphroditism.
Purification Method
Affinity purification
Gene ID
3972
RRID
AB_2764810
Buffer Information
Store at -20℃. Avoid freeze / thaw cycles. Buffer: PBS with 0.09% Sodium azide,50% glycerol,pH7.3.
Western blot analysis of lysates from K-562 cells, using LHB Rabbit pAb (CAB3000) at 1:400 dilution. Secondary antibody: HRP-conjugated Goat anti-Rabbit IgG (H+L) (CABS014) at 1:10000 dilution. Lysates/proteins: 25μg per lane. Blocking buffer: 3% nonfat dry milk in TBST. Detection: ECL Basic Kit (AbGn00020). Exposure time: 60s.
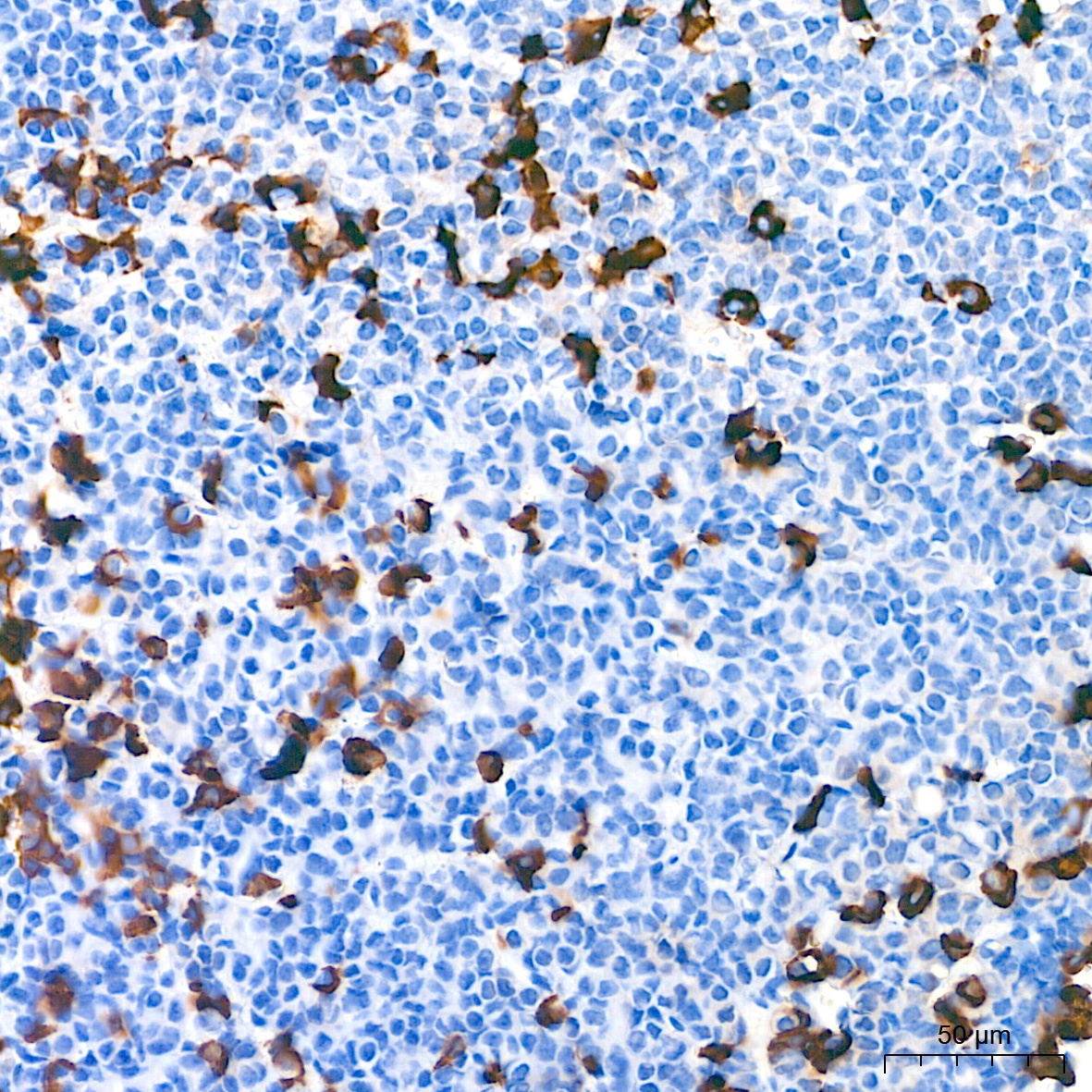
Immunohistochemistry analysis of paraffin-embedded Mouse pituitary tissue using LHB Rabbit pAb (CAB3000) at a dilution of 1:4000 (40x lens). High pressure antigen retrieval performed with 0.01M Tris-EDTA Buffer(pH 9.0) prior to IHC staining.
Immunohistochemistry analysis of paraffin-embedded Rat pituitary gland tissue using LHB Rabbit pAb (CAB3000) at a dilution of 1:4000 (40x lens). High pressure antigen retrieval performed with 0.01M Tris-EDTA Buffer(pH 9.0) prior to IHC staining.