The LPAL2 Polyclonal Antibody (PAC046518) is a valuable tool for researchers studying LPAL2, a protein involved in lipid metabolism and associated with dyslipidemia and cardiovascular disease risk. This antibody, raised in rabbits, exhibits high reactivity with human samples and has been validated for use in Western blot applications. By binding to the LPAL2 protein, this antibody enables the detection and analysis of LPAL2 levels in various cell types, making it ideal for research in lipid biology and cardiovascular health.
LPAL2, also known as lipoprotein-alpha-like 2, plays a critical role in lipid transport and metabolism, making it a potential therapeutic target for addressing dyslipidemia and reducing cardiovascular risk. Understanding the function and regulation of LPAL2 is essential for developing interventions aimed at improving lipid profiles and reducing the incidence of cardiovascular events. This antibody provides a reliable tool for investigating the role of LPAL2 in lipid homeostasis and cardiovascular health.
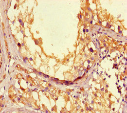
Immunohistochemistry of paraffin-embedded human testis tissue using PACO46518 at dilution of 1:100.
Immunofluorescent analysis of MCF-7 cells using PACO46518 at dilution of 1:100 and Alexa Fluor 488-congugated AffiniPure Goat Anti-Rabbit IgG(H+L).
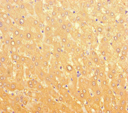
Immunohistochemistry of paraffin-embedded human liver tissue using PACO46518 at dilution of 1:100.
Synonyms:
Putative apolipoprotein(a)-like protein 2 (Apo(a)-like protein 2) (Lp(a)-liker protein 2) (Apolipoprotein a-related gene C protein) (Apo(a)rg-C), LPAL2, APOARGC
UniProt Protein Function:
LPAL2: Protein type: Secreted; Secreted, signal peptideChromosomal Location of Human Ortholog: 6q26-q27Molecular Function: protein binding