null
100% Quality Guarantee
PhD-Level Technical Support
Key Features

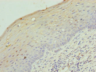
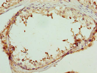
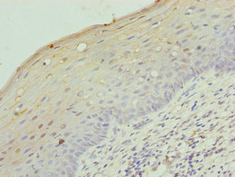
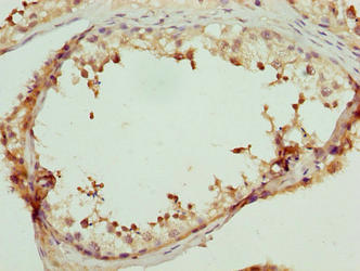
LRRC18 Antibody (PACO38790)

SKU PACO38790
Product Name LRRC18 Antibody (PACO38790)
Size 50μg
Isotype IgG
Host Species Rabbit
Reactivity Human
€291
Global Shipping: 80+ Countries
White Glove Service: Available upon request
Batch Consistency: Contact Sales
Distributors: 60+ Countries

Description

system_update_altDatasheetsystem_update_altMSDS

LRRC18 Antibody (PACO38790)

LRRC18 Antibody is a premium polyclonal that offers outstanding performance and reliability for demanding research applications. Rigorously validated for ELISA, IHC, this antibody ensures consistent, reproducible results across multiple experimental platforms. Demonstrates excellent reactivity with Human samples, providing researchers with confidence in cross-species compatibility. Conveniently packaged in 50ug format to meet your experimental needs. For optimal performance, store at -20°C or -80°C and maintains stability for 12 months. Backed by rigorous quality control testing to ensure superior performance in your critical research applications.

0 Reviews

0
Based on 0 reviews

No reviews yet. Be the first to share your experience!

View AllClose