LRRC31 Antibody is a premium polyclonal that offers outstanding performance and reliability for demanding research applications. Rigorously validated for ELISA, WB, IHC, this antibody ensures consistent, reproducible results across multiple experimental platforms. Demonstrates excellent reactivity with Human, Mouse samples, providing researchers with confidence in cross-species compatibility. Conveniently packaged in 50ug format to meet your experimental needs. For optimal performance, store at -20°C or -80°C and maintains stability for 12 months. Backed by rigorous quality control testing to ensure superior performance in your critical research applications.
Product Name:
LRRC31 Antibody
SKU:
PACO36778
Size:
50μg
Isotype:
IgG
Host Species:
Rabbit
Reactivity:
Human, Mouse
Immunogen:
Recombinant Human Leucine-rich repeat-containing protein 31 protein (1-300AA)
Immunogen Species:
Homo sapiens (Human)
Uniprot No:
Q6UY01
Form:
Liquid
Tested Applications:
ELISAWBIHC
Recommended Dilution:
Application
Recommended Dilution
WB
1:500-1:5000
IHC
1:20-1:200
Synonyms:
LRRC31 antibody, UNQ9367/PRO34156Leucine-rich repeat-containing protein 31 antibody
Western Blot All lanes: LRRC31 antibody at 5µg/ml + Mouse small intestine tissue Secondary Goat polyclonal to rabbit IgG at 1/10000 dilution Predicted band size: 62, 56, 39, 49 kDa Observed band size: 62 kDa
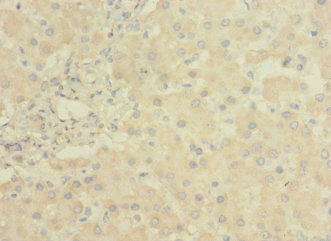
Immunohistochemistry of paraffin-embedded human liver tissue using PACO36778 at dilution of 1:100
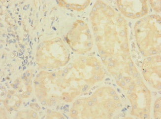
Immunohistochemistry of paraffin-embedded human kidney tissue using PACO36778 at dilution of 1:100