The LTA4H Antibody (CAB2502) is a high-quality antibody developed for reliable detection and analysis of target proteins. This antibody, produced in rabbits, exhibits high reactivity with human samples and is suitable for use in Western blot applications. By binding specifically to the LTA4H protein, researchers can accurately detect and analyze its expression in a variety of cell types.
This antibody is validated for use in WB, ELISA applications and has demonstrated reactivity against Human, Mouse samples.
Product Name:
LTA4H Antibody
SKU:
CAB2502
Size:
20μL, 100μL
Reactivity:
Human, Mouse
Conjugate:
Unconjugated
Immunogen:
Recombinant protein (or fragment).This information is considered to be commercially sensitive.
The protein encoded by this gene is an enzyme that contains both hydrolase and aminopeptidase activities. The hydrolase activity is used in the final step of the biosynthesis of leukotriene B4, a proinflammatory mediator. The aminopeptidase activity has been shown to degrade proline-glycine-proline (PGP), a neutrophil chemoattractant and biomarker for chronic obstructive pulmonary disease (COPD). Several transcript variants encoding different isoforms have been found for this gene.
Purification Method
Affinity purification
Gene ID
4048
RRID
AB_2764393
Buffer Information
Store at -20℃. Avoid freeze / thaw cycles. Buffer: PBS containing 50% glycerol, preserved with proclin300 or sodium azide, pH 7.3.
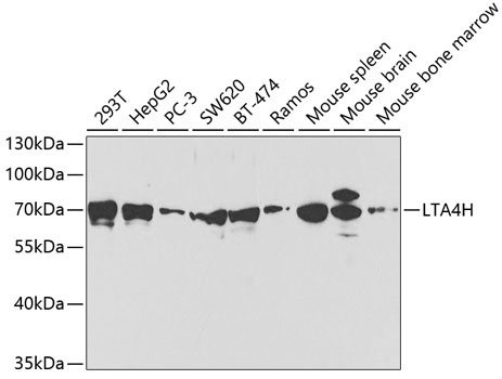
Western blot analysis of various lysates using LTA4H Rabbit pAb (CAB2502) at 1:1000 dilution. Secondary antibody: HRP-conjugated Goat anti-Rabbit IgG (H+L) (CABS014) at 1:10000 dilution. Lysates/proteins: 25μg per lane. Blocking buffer: 3% nonfat dry milk in TBST. Detection: ECL Basic Kit (AbGn00020). Exposure time: 5s.
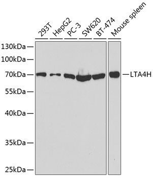
Western blot analysis of various lysates using LTA4H Rabbit pAb (CAB2502) at 1:1000 dilution. Secondary antibody: HRP-conjugated Goat anti-Rabbit IgG (H+L) (CABS014) at 1:10000 dilution. Lysates/proteins: 25μg per lane. Blocking buffer: 3% nonfat dry milk in TBST. Detection: ECL Basic Kit (AbGn00020). Exposure time: 5s.