null
100% Quality Guarantee
PhD-Level Technical Support
Key Features

LTF Rabbit Polyclonal Antibody (CAB12902)

SKU CAB12902
Product Type Antibody
Antibody Type Polyclonal Antibody
Reactivity Human, Mouse, Rat
Host Species Rabbit
Synonyms LF, HLF2, GIG12, HEL110, LTF
Research Use Immunology
$127 - $488
Global Shipping: 80+ Countries
White Glove Service: Available upon request
Batch Consistency: Contact Sales
Distributors: 60+ Countries

Description

system_update_altDatasheetsystem_update_altMSDS

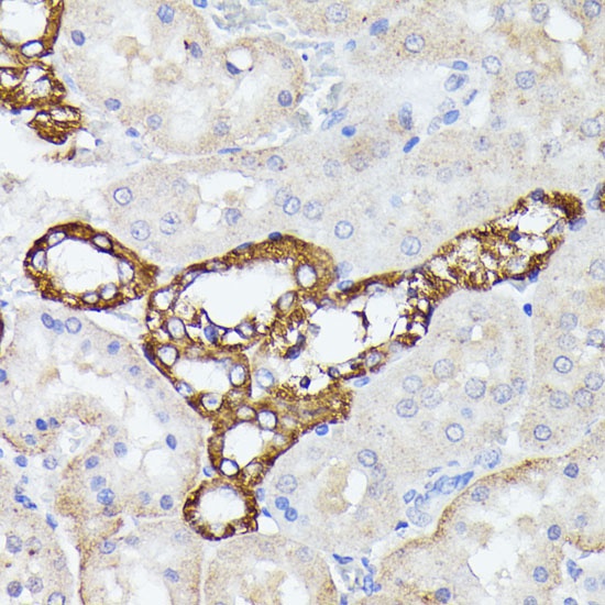
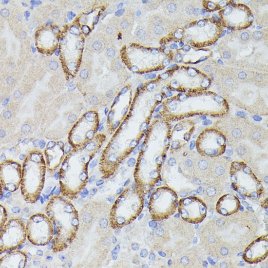
LTF Antibody (CAB12902)

The LTF Antibody (CAB12902) is a high-quality antibody developed for reliable detection and analysis of target proteins. This antibody, produced in rabbits, exhibits high specificity and sensitivity towards human samples, making it an ideal choice for Western blot experiments.LTF, also known as lactoferrin, is a key player in the body's defense against microbial infections by sequestering iron, which is essential for bacterial growth. Additionally, LTF possesses anti-inflammatory and immunomodulatory properties, making it a promising target for research in fields such as immunology, microbiology, and nutrition.

This antibody is validated for use in WB, IHC-P, ELISA applications and has demonstrated reactivity against Human, Mouse, Rat samples.

0 Reviews

0
Based on 0 reviews

No reviews yet. Be the first to share your experience!

View AllClose