The SSB Antibody (CAB0630) is a high-quality antibody developed for reliable detection and analysis of target proteins. This antibody, generated in rabbits, is highly specific for the Lupus LA protein and has been validated for use in Western blot applications. By targeting the Lupus LA protein, this antibody allows for the detection and analysis of this important biomarker in various cell types.The Lupus LA protein, also known as La/SSB, is an autoantigen that plays a key role in the pathogenesis of lupus, making it a crucial target for research into this complex disease. By understanding the activity of Lupus LA, researchers can gain insights into the mechanisms underlying lupus development and progression.
This antibody is validated for use in WB, IHC-P, IF/ICC, IP, ELISA applications and has demonstrated reactivity against Human samples.
Product Name:
SSB Antibody
SKU:
CAB0630
Size:
20μL, 100μL
Reactivity:
Human
Conjugate:
Unconjugated
Immunogen:
Recombinant protein (or fragment).This information is considered to be commercially sensitive.
0.5μg-4μg antibody for 200μg-400μg extracts of whole cells
ELISA
Recommended starting concentration is 1 μg/mL. Please optimize the concentration based on your specific assay requirements.
Synonyms:
La, LARP3, La/SSB, SSB
Positive Sample:
Jurkat, LO2, HepG2, 293T
Cellular Localization:
Nucleus.
Calculated MW:
47kDa
Observed MW:
47kDa
The protein encoded by this gene is involved in diverse aspects of RNA metabolism, including binding and protecting poly(U) termini of nascent RNA polymerase III transcripts from exonuclease digestion, processing 5' and 3' ends of pre-tRNA precursors, acting as an RNA chaperone, and binding viral RNAs associated with hepatitis C virus. Autoantibodies reacting with this protein are found in the sera of patients with Sjogren syndrome and systemic lupus erythematosus. Alternative promoter usage results in two different transcript variants which encode the same protein.
Purification Method
Affinity purification
Gene ID
6741
RRID
AB_2757303
Buffer Information
Store at -20℃. Avoid freeze / thaw cycles. Buffer: PBS containing 50% glycerol, preserved with proclin300 or sodium azide, pH 7.3.
Western blot analysis of various lysates using SSB Rabbit pAb (CAB0630) at 1:1000 dilution. Secondary antibody: HRP-conjugated Goat anti-Rabbit IgG (H+L) (CABS014) at 1:10000 dilution. Lysates/proteins: 25μg per lane. Blocking buffer: 3% nonfat dry milk in TBST. Detection: ECL Basic Kit (AbGn00020). Exposure time: 1s.
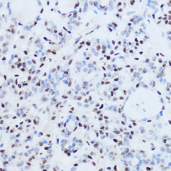
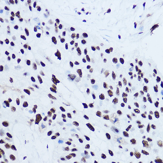
Immunohistochemistry analysis of paraffin-embedded Human breast cancer using SSB Rabbit pAb (CAB0630) at dilution of 1:300 (40x lens). High pressure antigen retrieval performed with 0.01M Citrate buffer (pH 6.0) prior to IHC staining.
Immunohistochemistry analysis of paraffin-embedded Human lung cancer using SSB Rabbit pAb (CAB0630) at dilution of 1:300 (40x lens). High pressure antigen retrieval performed with 0.01M Citrate buffer (pH 6.0) prior to IHC staining.
Immunohistochemistry analysis of paraffin-embedded Human thyroid cancer using SSB Rabbit pAb (CAB0630) at dilution of 1:300 (40x lens). High pressure antigen retrieval performed with 0.01M Citrate buffer (pH 6.0) prior to IHC staining.
Immunoprecipitation analysis of 200 μg extracts of Jurkat cells using 3 μg SSB antibody (CAB0630). Western blot was performed from the immunoprecipitate using SSB antibody (CAB0630) at a dilution of 1:1000.