The LYRM4 Antibody (PAC05925) is a high-quality polyclonal antibody designed for research involving LYRM4, a protein involved in mitochondrial function and metabolism regulation. This antibody is raised in rabbits and has been validated for use in various research applications, including Western blot and immunofluorescence.LYRM4 is a critical component of mitochondrial respiratory chain complexes and is essential for maintaining mitochondrial function and overall cellular metabolism. Studies have shown that dysregulation of LYRM4 can lead to mitochondrial dysfunction, which is implicated in various diseases, including metabolic disorders and neurodegenerative conditions.
By using the LYRM4 Antibody, researchers can accurately detect and analyze LYRM4 expression in different cell types and tissues, providing insights into its role in mitochondrial biology and metabolic homeostasis. This antibody is a valuable tool for studying mitochondrial function and metabolism-related diseases, offering new opportunities for therapeutic development and disease understanding in these areas.
Antibody Name:
LYRM4 Antibody (PACO59425)
Antibody SKU:
PACO59425
Size:
50ug
Host Species:
Rabbit
Tested Applications:
ELISA, IHC
Recommended Dilutions:
ELISA:1:2000-1:10000, IHC:1:200-1:500
Species Reactivity:
Human
Immunogen:
Recombinant Human LYR motif-containing protein 4 protein (1-91AA)
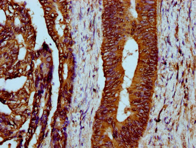
IHC image of PACO59425 diluted at 1:300 and staining in paraffin-embedded human colon cancer performed on a Leica BondTM system. After dewaxing and hydration, antigen retrieval was mediated by high pressure in a citrate buffer (pH 6.0). Section was blocked with 10% normal goat serum 30min at RT. Then primary antibody (1% BSA) was incubated at 4°C overnight. The primary is detected by a biotinylated secondary antibody and visualized using an HRP conjugated SP system.
IHC image of PACO59425 diluted at 1:300 and staining in paraffin-embedded human skeletal muscle tissue performed on a Leica BondTM system. After dewaxing and hydration, antigen retrieval was mediated by high pressure in a citrate buffer (pH 6.0). Section was blocked with 10% normal goat serum 30min at RT. Then primary antibody (1% BSA) was incubated at 4°C overnight. The primary is detected by a biotinylated secondary antibody and visualized using an HRP conjugated SP system.
Background:
Required for nuclear and mitochondrial iron-sulfur protein biosynthesis.
Synonyms:
LYR motif-containing protein 4, LYRM4, C6orf149 ISD11
UniProt Protein Function:
LYRM4: Required for nuclear and mitochondrial iron-sulfur protein biosynthesis. Belongs to the complex I LYR family.Protein type: Unknown functionChromosomal Location of Human Ortholog: 6p25.1Cellular Component: mitochondrial matrix; nucleusDisease: Combined Oxidative Phosphorylation Deficiency 19