The MBNL1 Antibody (CAB8054) is a high-quality antibody developed for reliable detection and analysis of target proteins. This antibody, developed using rabbit hosts, exhibits high specificity and sensitivity towards human samples, making it an ideal choice for Western blot applications. By binding to the MBNL1 protein, this antibody facilitates the detection and analysis of MBNL1 expression in various cell types, enabling deeper insights into its role in RNA processing and disease development.MBNL1 is essential for regulating alternative splicing events in pre-mRNA, influencing the production of multiple protein isoforms.
This antibody is validated for use in WB, IHC-P, IF/ICC, ELISA applications and has demonstrated reactivity against Human, Mouse, Rat samples.
Product Name:
MBNL1 Antibody
SKU:
CAB8054
Size:
20μL, 100μL
Reactivity:
Human, Mouse, Rat
Conjugate:
Unconjugated
Immunogen:
Recombinant protein (or fragment).This information is considered to be commercially sensitive.
Recommended starting concentration is 1 μg/mL. Please optimize the concentration based on your specific assay requirements.
Synonyms:
EXP, MBNL, MBNL1
Positive Sample:
Jurkat, HepG2, MCF7
Cellular Localization:
Cytoplasm, Cytoplasmic Granule, Nucleus.
Calculated MW:
42kDa
Observed MW:
42kDa
This gene encodes a member of the muscleblind protein family which was initially described in Drosophila melanogaster. The encoded protein is a C3H-type zinc finger protein that modulates alternative splicing of pre-mRNAs. Muscleblind proteins bind specifically to expanded dsCUG RNA but not to normal size CUG repeats and may thereby play a role in the pathophysiology of myotonic dystrophy. Mice lacking this gene exhibited muscle abnormalities and cataracts. Several alternatively spliced transcript variants have been described but the full-length natures of only some have been determined. The different isoforms are thought to have different binding specificities and/or splicing activities.
Purification Method
Affinity purification
Gene ID
4154
RRID
AB_2770309
Buffer Information
Store at -20℃. Avoid freeze / thaw cycles. Buffer: PBS containing 50% glycerol, preserved with proclin300 or sodium azide, pH 7.3.
Western blot analysis of various lysates using MBNL1 Rabbit pAb (CAB8054) at 1:1000 dilution. Secondary antibody: HRP-conjugated Goat anti-Rabbit IgG (H+L) (CABS014) at 1:10000 dilution. Lysates/proteins: 25μg per lane. Blocking buffer: 3% nonfat dry milk in TBST. Detection: ECL Basic Kit (AbGn00020). Exposure time: 90s.
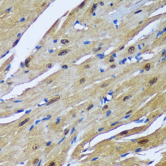
Immunohistochemistry analysis of paraffin-embedded Rat heart using MBNL1 Rabbit pAb (CAB8054) at dilution of 1:100 (40x lens). Microwave antigen retrieval performed with 0.01M Tris/EDTA Buffer (pH 9.0) prior to IHC staining.
Immunohistochemistry analysis of paraffin-embedded Mouse heart using MBNL1 Rabbit pAb (CAB8054) at dilution of 1:100 (40x lens). Microwave antigen retrieval performed with 0.01M Tris/EDTA Buffer (pH 9.0) prior to IHC staining.
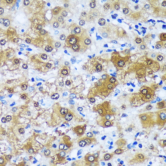
Immunohistochemistry analysis of paraffin-embedded Human liver using MBNL1 Rabbit pAb (CAB8054) at dilution of 1:100 (40x lens). Microwave antigen retrieval performed with 0.01M Tris/EDTA Buffer (pH 9.0) prior to IHC staining.