MCM9 Antibody is a premium polyclonal that offers outstanding performance and reliability for demanding research applications. Rigorously validated for ELISA, WB, IHC, this antibody ensures consistent, reproducible results across multiple experimental platforms. Demonstrates excellent reactivity with Human, Mouse samples, providing researchers with confidence in cross-species compatibility. Conveniently packaged in 50ug format to meet your experimental needs. For optimal performance, store at -20°C or -80°C and maintains stability for 12 months. Backed by rigorous quality control testing to ensure superior performance in your critical research applications.
Product Name:
MCM9 Antibody
SKU:
PACO41734
Size:
50μg
Isotype:
IgG
Host Species:
Rabbit
Reactivity:
Human, Mouse, Rat
Immunogen:
Synthesized peptide derived from part region of human protein. AA range 220-240
Liquid in PBS containing 50% glycerol, 0.5% BSA and 0.02% sodium azide.
Purification:
Antigen affinity purification
Clonality:
Polyclonal
Conjugate:
Non-conjugated
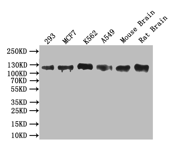
Western Blot Positive WB detected in: 293 whole cell lysate, MCF7 whole cell lysate, K562 whole cell lysate, A549 whole cell lysate, Mouse Brain tissue lysate, Mouse Brain tissue lysate All lanes: MCM9 antibody at 1:1000 Secondary Goat polyclonal to rabbit IgG at 1/50000 dilution Predicted band size: 127/85/72/48 kDa Observed band size: 127 kDa
Immunofluorescence staining of MCF7 cell with PACO41734 at 1:30, counter-stained with DAPI. The cells were fixed in 4% formaldehyde and blocked in 10% normal Goat Serum. The cells were then incubated with the antibody overnight at 4C. The secondary antibody was Alexa Fluor 488-congugated AffiniPure Goat Anti-Rabbit IgG(H+L).
Immunofluorescence staining of MCF7 cell with 5% goat serum, counter-stained with DAPI. The cells were fixed in 4% formaldehyde and blocked in 10% normal Goat Serum. The cells were then incubated with the antibody overnight at 4C. The secondary antibody was Alexa Fluor 488-congugated AffiniPure Goat Anti-Rabbit IgG(H+L).