The METTL3 Polyclonal Antibody (CAB21572) is a high-quality antibody developed for reliable detection and analysis of target proteins. This antibody, generated in rabbits, shows high reactivity with human samples and has been validated for use in Western blot applications. By specifically binding to the METTL3 protein, this antibody enables accurate detection and analysis in a variety of cell types, making it ideal for investigations in the fields of RNA biology and gene expression regulation.
This antibody is validated for use in WB, IHC-P, IP, ELISA applications and has demonstrated reactivity against Human, Mouse, Rat samples.
Product Name:
METTL3 Polyclonal Antibody
SKU:
CAB21572
Size:
20μL, 100μL
Reactivity:
Human, Mouse, Rat
Conjugate:
Unconjugated
Immunogen:
Recombinant protein (or fragment).This information is considered to be commercially sensitive.
Recommended starting concentration is 1 μg/mL. Please optimize the concentration based on your specific assay requirements.
Synonyms:
M6A, IME4, Spo8, MT-A70, hMETTL3, METTL3
Positive Sample:
NIH/3T3, Mouse testis, Rat thymus
Cellular Localization:
Nucleus Speckle.
Calculated MW:
64kDa
Observed MW:
75kDa
This gene encodes the 70 kDa subunit of MT-A which is part of N6-adenosine-methyltransferase. This enzyme is involved in the posttranscriptional methylation of internal adenosine residues in eukaryotic mRNAs, forming N6-methyladenosine.
Purification Method
Affinity purification
Gene ID
56339
Buffer Information
Store at -20℃. Avoid freeze / thaw cycles. Buffer: PBS containing 50% glycerol, preserved with proclin300 or sodium azide, pH 7.3.
Western blot analysis of various lysates, using METTL3 Rabbit pAb (CAB21572) at 1:1000 dilution. Secondary antibody: HRP-conjugated Goat anti-Rabbit IgG (H+L) (CABS014) at 1:10000 dilution. Lysates/proteins: 25μg per lane. Blocking buffer: 3% nonfat dry milk in TBST. Detection: ECL Basic Kit (AbGn00020). Exposure time: 20s.
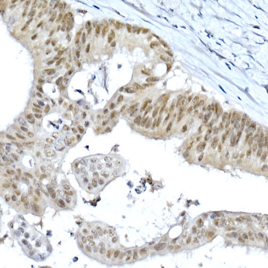
Immunohistochemistry analysis of paraffin-embedded Human colon carcinoma using METTL3 Rabbit pAb (CAB21572) at dilution of 1:20 (40x lens). High pressure antigen retrieval performed with 0.01M Citrate buffer (pH 6.0) prior to IHC staining.
Immunoprecipitation analysis of 300 μg extracts of 293T cells using 3 μg METTL3 Rabbit pAb (CAB21572). Western blot was performed from the immunoprecipitate using METTL3 Rabbit pAb (CAB21572) at a dilution of 1:1000.