The METTL4 Antibody (CAB9294) is a high-quality antibody developed for reliable detection and analysis of target proteins. This antibody, produced in rabbits, is highly specific for METTL4 in human samples and is suitable for use in Western blotting and other applications. By targeting the METTL4 protein, this antibody allows for the detection and analysis of METTL4 expression in various cell types, making it essential for studies in the fields of epigenetics and RNA biology.METTL4 is a methyltransferase enzyme that plays a critical role in the methylation of RNA molecules, impacting various cellular processes including mRNA stability and translation efficiency.
This antibody is validated for use in WB, IHC-P, IF/ICC, ELISA applications and has demonstrated reactivity against Human, Mouse, Rat samples.
Product Name:
METTL4 Antibody
SKU:
CAB9294
Size:
20μL, 100μL
Reactivity:
Human, Mouse, Rat
Conjugate:
Unconjugated
Immunogen:
Recombinant protein (or fragment).This information is considered to be commercially sensitive.
Recommended starting concentration is 1 μg/mL. Please optimize the concentration based on your specific assay requirements.
Synonyms:
HsT661, METTL4
Positive Sample:
A-549, 293T, HeLa, MCF7, Mouse brain, Rat brain
Cellular Localization:
Cytosol, Mitochondrial Matrix, Nucleus.
Calculated MW:
54kDa
Observed MW:
54kDa
Enables RNA methyltransferase activity and site-specific DNA-methyltransferase (adenine-specific) activity. Involved in nucleic acid metabolic process; regulation of RNA metabolic process; and regulation of mitochondrial DNA replication. Located in cytosol; mitochondrial matrix; and nucleus.
Purification Method
Affinity purification
Gene ID
64863
RRID
AB_2770345
Buffer Information
Store at -20℃. Avoid freeze / thaw cycles. Buffer: PBS with 0.09% Sodium azide,50% glycerol,pH7.3.
Western blot analysis of various lysates using METTL4 Rabbit pAb (CAB9294) at 1:2000 dilution. Secondary antibody: HRP-conjugated Goat anti-Rabbit IgG (H+L) (CABS014) at 1:10000 dilution. Lysates/proteins: 25μg per lane. Blocking buffer: 3% nonfat dry milk in TBST. Detection: ECL Basic Kit (AbGn00020). Exposure time: 1s.
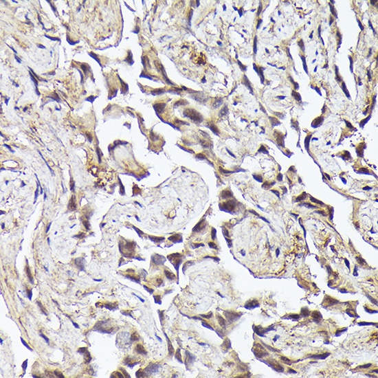
Immunohistochemistry analysis of paraffin-embedded Human lung cancer using METTL4 Rabbit pAb (CAB9294) at dilution of 1:50 (40x lens). High pressure antigen retrieval performed with 0.01M Citrate buffer (pH 6.0) prior to IHC staining.
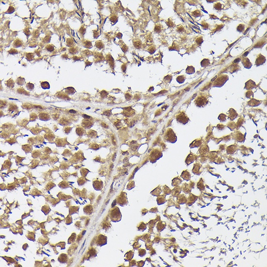
Immunohistochemistry analysis of paraffin-embedded Rat testis using METTL4 Rabbit pAb (CAB9294) at dilution of 1:50 (40x lens). High pressure antigen retrieval performed with 0.01M Citrate buffer (pH 6.0) prior to IHC staining.
Immunofluorescence analysis of NIH/3T3 cells using METTL4 Rabbit pAb (CAB9294) at dilution of 1:50 (40x lens). Secondary antibody: Cy3-conjugated Goat anti-Rabbit IgG (H+L) (CABS007) at 1:500 dilution. Blue: DAPI for nuclear staining.