MEX3A Antibody is a premium polyclonal that offers outstanding performance and reliability for demanding research applications. Rigorously validated for ELISA, WB, IHC, this antibody ensures consistent, reproducible results across multiple experimental platforms. Demonstrates excellent reactivity with Human samples, providing researchers with confidence in cross-species compatibility. Conveniently packaged in 50ug format to meet your experimental needs. For optimal performance, store at -20°C or -80°C and maintains stability for 12 months. Backed by rigorous quality control testing to ensure superior performance in your critical research applications.
Product Name:
MEX3A Antibody
SKU:
PACO60769
Size:
50μg
Isotype:
IgG
Host Species:
Rabbit
Reactivity:
Human
Immunogen:
Recombinant Human RNA-binding protein MEX3A protein (416-466AA)
Immunogen Species:
Homo sapiens (Human)
Uniprot No:
A1L020
Form:
Liquid
Tested Applications:
ELISAWBIHC
Recommended Dilution:
Application
Recommended Dilution
WB
1:500-1:5000
IHC
1:200-1:500
Synonyms:
MEX3A antibody, RKHD4RNA-binding protein MEX3A antibody, RING finger and KH domain-containing protein 4 antibody
Western Blot Positive WB detected in: Hela whole cell lysate, SH-SY5Y whole cell lysate All lanes: MEX3A antibody at 4.3µg/ml Secondary Goat polyclonal to rabbit IgG at 1/50000 dilution Predicted band size: 55 kDa Observed band size: 55 kDa
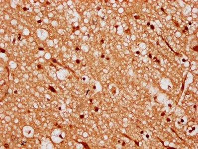
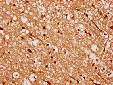
IHC image of PACO60769 diluted at 1:300 and staining in paraffin-embedded human brain tissue performed on a Leica BondTM system. After dewaxing and hydration, antigen retrieval was mediated by high pressure in a citrate buffer (pH 6.0). Section was blocked with 10% normal goat serum 30min at RT. Then primary antibody (1% BSA) was incubated at 4°C overnight. The primary is detected by a biotinylated secondary antibody and visualized using an HRP conjugated SP system.