The MOGS Antibody (CAB12725) is a high-quality antibody developed for reliable detection and analysis of target proteins. This antibody, produced in rabbits, shows high reactivity with human samples and has been validated for use in Western blot applications. By binding to the MOGS protein, researchers can effectively detect and analyze its expression in various cell types, making it an ideal choice for studies in glycobiology, cell biology, and related fields.
This antibody is validated for use in WB, ELISA applications and has demonstrated reactivity against Human, Mouse, Rat samples.
Product Name:
MOGS Antibody
SKU:
CAB12725
Size:
20μL, 100μL
Reactivity:
Human, Mouse, Rat
Conjugate:
Unconjugated
Immunogen:
Recombinant protein (or fragment).This information is considered to be commercially sensitive.
Endoplasmic Reticulum Membrane, Single-Pass Type Ii Membrane Protein.
Calculated MW:
92kDa
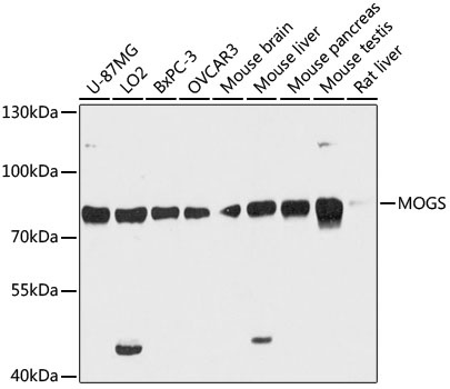
Observed MW:
80kDa
This gene encodes the first enzyme in the N-linked oligosaccharide processing pathway. The enzyme cleaves the distal alpha-1,2-linked glucose residue from the Glc(3)-Man(9)-GlcNAc(2) oligosaccharide precursor. This protein is located in the lumen of the endoplasmic reticulum. Defects in this gene are a cause of type IIb congenital disorder of glycosylation (CDGIIb). Two transcript variants encoding different isoforms have been found for this gene.
Purification Method
Affinity purification
Gene ID
7841
RRID
AB_2759567
Buffer Information
Store at -20℃. Avoid freeze / thaw cycles. Buffer: PBS with 0.01% thimerosal,50% glycerol,pH7.3.
Western blot analysis of various lysates using MOGS Rabbit pAb (CAB12725) at 1:3000 dilution. Secondary antibody: HRP-conjugated Goat anti-Rabbit IgG (H+L) (CABS014) at 1:10000 dilution. Lysates/proteins: 25μg per lane. Blocking buffer: 3% nonfat dry milk in TBST. Detection: ECL Basic Kit (AbGn00020). Exposure time: 90s.