The MonoMethyl-Histone H3-R8 Antibody (CAB3156) is a high-quality antibody developed for reliable detection and analysis of target proteins. This antibody, produced from rabbit hosts, specifically recognizes the monomethylation of histone H3 at arginine 8 and is validated for use in applications such as immunofluorescence and chromatin immunoprecipitation (ChIP).Histone modification at arginine 8 is known to regulate gene expression, impacting various cellular processes such as DNA repair, replication, and transcription. The specificity of CAB3156 for monomethyl-histone H3 (R8) enables precise detection and analysis of this key modification, allowing researchers to investigate its role in development, disease, and other biological pathways.
This antibody is validated for use in WB, IHC-P, IF/ICC, ELISA applications and has demonstrated reactivity against Human, Mouse, Rat, Other (Wide Range Predicted) samples.
Product Name:
MonoMethyl-Histone H3-R8 Antibody
SKU:
CAB3156
Size:
20μL, 100μL
Reactivity:
Human, Mouse, Rat, Other (Wide Range Predicted)
Conjugate:
Unconjugated
Immunogen:
Synthetic peptide. This information is considered to be commercially sensitive.
Sequence:
TARK S
Tested Applications:
WBIHC-PIF/ICCELISA
Recommended Dilution:
WB
1:100 - 1:500
IHC-P
1:50 - 1:200
IF/ICC
1:50 - 1:200
ELISA
Recommended starting concentration is 1 μg/mL. Please optimize the concentration based on your specific assay requirements.
Histones are basic nuclear proteins that are responsible for the nucleosome structure of the chromosomal fiber in eukaryotes. Nucleosomes consist of approximately 146 bp of DNA wrapped around a histone octamer composed of pairs of each of the four core histones (H2A, H2B, H3, and H4). The chromatin fiber is further compacted through the interaction of a linker histone, H1, with the DNA between the nucleosomes to form higher order chromatin structures. This gene is intronless and encodes a replication-dependent histone that is a member of the histone H3 family. Transcripts from this gene lack polyA tails; instead, they contain a palindromic termination element. This gene is located separately from the other H3 genes that are in the histone gene cluster on chromosome 6p22-p21.3.
Purification Method
Affinity purification
Gene ID
8290 8350
RRID
AB_2764950
Buffer Information
Store at -20℃. Avoid freeze / thaw cycles. Buffer: PBS with 0.09% Sodium azide,50% glycerol,pH7.3.
Western blot analysis of various lysates using MonoMethyl-Histone H3-R8 Rabbit pAb (CAB3156) at 1:500 dilution. Secondary antibody: HRP-conjugated Goat anti-Rabbit IgG (H+L) (CABS014) at 1:10000 dilution. Lysates/proteins: 25μg per lane. Blocking buffer: 3% nonfat dry milk in TBST. Detection: ECL Enhanced Kit (AbGn00021). Exposure time: 180s.
Dot-blot analysis of all sorts of methylation peptides using MonoMethyl-Histone H3-R8 antibody (CAB3156) at 1:1000 dilution.
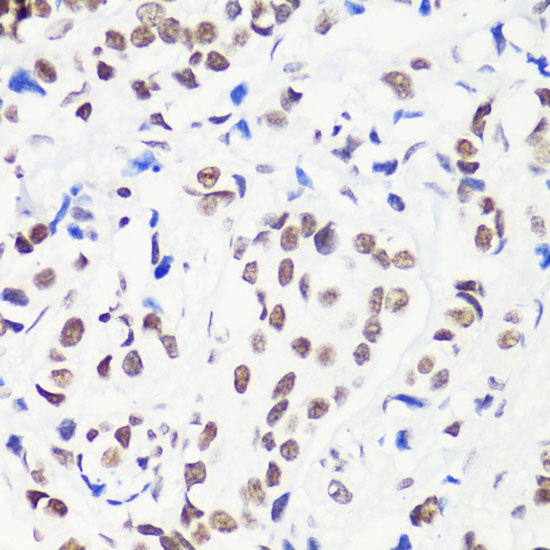
Immunohistochemistry analysis of paraffin-embedded Human breast cancer using MonoMethyl-Histone H3-R8 Rabbit pAb (CAB3156) at dilution of 1:100 (40x lens). Microwave antigen retrieval performed with 0.01M PBS Buffer (pH 7.2) prior to IHC staining.
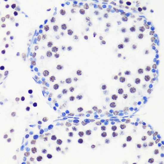
Immunohistochemistry analysis of paraffin-embedded Mouse testis using MonoMethyl-Histone H3-R8 Rabbit pAb (CAB3156) at dilution of 1:100 (40x lens). Microwave antigen retrieval performed with 0.01M PBS Buffer (pH 7.2) prior to IHC staining.