The MRPL11 Antibody (CAB4945) is a high-quality antibody developed for reliable detection and analysis of target proteins. This antibody, raised in rabbits, is highly specific to human samples and has been validated for use in applications such as Western blotting. By binding to the MRPL11 protein, this antibody enables the detection and analysis of MRPL11 in various cell types, making it ideal for studies in mitochondrial biology and related fields.MRPL11 is a key component of the mitochondrial ribosome, playing a crucial role in protein synthesis within the mitochondria. Dysregulation of MRPL11 has been linked to mitochondrial dysfunction and various diseases, making it a promising target for therapeutic research.
This antibody is validated for use in WB, ELISA applications and has demonstrated reactivity against Human, Mouse, Rat samples.
Product Name:
MRPL11 Antibody
SKU:
CAB4945
Size:
20μL, 100μL
Reactivity:
Human, Mouse, Rat
Conjugate:
Unconjugated
Immunogen:
Recombinant protein (or fragment).This information is considered to be commercially sensitive.
This nuclear gene encodes a 39S subunit component of the mitochondial ribosome. Alternative splicing results in multiple transcript variants. Pseudogenes for this gene are found on chromosomes 5 and 12.
Purification Method
Affinity purification
Gene ID
65003
RRID
AB_2765945
Buffer Information
Store at -20℃. Avoid freeze / thaw cycles. Buffer: PBS containing 50% glycerol, preserved with proclin300 or sodium azide, pH 7.3.
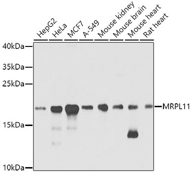
Western blot analysis of various lysates using MRPL11 Rabbit pAb (CAB4945) at 1:1000 dilution. Secondary antibody: HRP-conjugated Goat anti-Rabbit IgG (H+L) (CABS014) at 1:10000 dilution. Lysates/proteins: 25μg per lane. Blocking buffer: 3% nonfat dry milk in TBST. Detection: ECL Basic Kit (AbGn00020). Exposure time: 40s.