The Musashi-1 (MSI1) Antibody (CAB2609) is a high-quality antibody developed for reliable detection and analysis of target proteins. This antibody, generated in rabbits, is highly specific for human samples and has been validated for use in Western blot and immunohistochemistry applications.MSI1 is a key player in stem cell self-renewal and differentiation, making it an important target for studies in developmental biology and cancer research. The MSI1 Polyclonal Antibody binds specifically to the MSI1 protein, enabling researchers to easily detect and analyze its expression in a variety of cell types.
This antibody is validated for use in WB, IHC-P, ELISA applications and has demonstrated reactivity against Human, Mouse, Rat samples.
Product Name:
Musashi-1 (MSI1) Antibody
SKU:
CAB2609
Size:
20μL, 100μL
Reactivity:
Human, Mouse, Rat
Conjugate:
Unconjugated
Immunogen:
Recombinant protein (or fragment).This information is considered to be commercially sensitive.
Recommended starting concentration is 1 μg/mL. Please optimize the concentration based on your specific assay requirements.
Synonyms:
MSI1, Musashi-1 (MSI1)
Positive Sample:
SH-SY5Y, 293T, Mouse brain
Cellular Localization:
Cytoplasm, Nucleus.
Calculated MW:
39kDa
Observed MW:
42kDa
This gene encodes a protein containing two conserved tandem RNA recognition motifs. Similar proteins in other species function as RNA-binding proteins and play central roles in posttranscriptional gene regulation. Expression of this gene has been correlated with the grade of the malignancy and proliferative activity in gliomas and melanomas. A pseudogene for this gene is located on chromosome 11q13.
Purification Method
Affinity purification
Gene ID
4440
RRID
AB_2764491
Buffer Information
Store at -20℃. Avoid freeze / thaw cycles. Buffer: PBS with 0.09% Sodium azide,50% glycerol,pH7.3.
Western blot analysis of various lysates using Musashi-1 (MSI1) Rabbit pAb (CAB2609) at 1:1000 dilution. Secondary antibody: HRP-conjugated Goat anti-Rabbit IgG (H+L) (CABS014) at 1:10000 dilution. Lysates/proteins: 25μg per lane. Blocking buffer: 3% nonfat dry milk in TBST. Detection: ECL Basic Kit (AbGn00020). Exposure time: 30s.
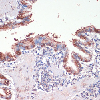
Immunohistochemistry analysis of paraffin-embedded Rat lung using Musashi-1 (MSI1) Rabbit pAb (CAB2609) at dilution of 1:200 (40x lens). Microwave antigen retrieval performed with 0.01M PBS Buffer (pH 7.2) prior to IHC staining.