The MTCO2 Antibody (CAB11522) is a high-quality antibody developed for reliable detection and analysis of target proteins. This antibody is produced in rabbits and exhibits high reactivity with human samples, making it ideal for use in Western blot applications.MT-CO2 is essential for the proper functioning of the electron transport chain, which is crucial for ATP production and cellular energy metabolism. Deregulation of MT-CO2 has been implicated in various diseases, including mitochondrial disorders and certain types of cancer. By targeting MT-CO2 with this antibody, researchers can gain insight into its expression levels and localization in different cell types, advancing our understanding of mitochondrial function and its role in health and disease.
This antibody is validated for use in WB, IHC-P, IF/ICC, ELISA applications and has demonstrated reactivity against Mouse, Rat samples.
Product Name:
MTCO2 Antibody
SKU:
CAB11522
Size:
20μL, 100μL
Reactivity:
Mouse, Rat
Conjugate:
Unconjugated
Immunogen:
Synthetic peptide. This information is considered to be commercially sensitive.
Predicted to enable copper ion binding activity and oxidoreductase activity. Predicted to contribute to cytochrome-c oxidase activity. Predicted to be involved in ATP synthesis coupled electron transport; positive regulation of cellular biosynthetic process; and positive regulation of necrotic cell death. Located in mitochondrion. Is expressed in embryo; epiblast; heart; liver; and metanephros. Orthologous to several human genes including MTCO2P12 (MT-CO2 pseudogene 12).
Purification Method
Affinity purification
Gene ID
17709
RRID
AB_2758591
Buffer Information
Store at -20℃. Avoid freeze / thaw cycles. Buffer: PBS with 0.09% Sodium azide,50% glycerol,pH7.3.
Western blot analysis of various lysates using MTCO2 Rabbit pAb (CAB11522) at 1:800 dilution. Secondary antibody: HRP-conjugated Goat anti-Rabbit IgG (H+L) (CABS014) at 1:10000 dilution. Lysates/proteins: 25μg per lane. Blocking buffer: 3% nonfat dry milk in TBST. Detection: ECL Basic Kit (AbGn00020). Exposure time: 1s.
Western blot analysis of various lysates using MTCO2 Rabbit pAb (CAB11522) at 1:800 dilution. Secondary antibody: HRP-conjugated Goat anti-Rabbit IgG (H+L) (CABS014) at 1:10000 dilution. Lysates/proteins: 25μg per lane. Blocking buffer: 3% nonfat dry milk in TBST. Detection: ECL Basic Kit (AbGn00020). Exposure time: 15s.
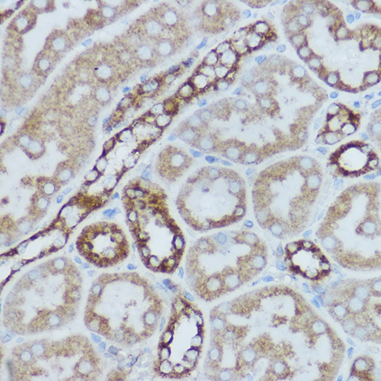
Immunohistochemistry analysis of paraffin-embedded Rat kidney using MTCO2 Rabbit pAb (CAB11522) at dilution of 1:400 (40x lens). High pressure antigen retrieval performed with 0.01M Citrate buffer (pH 6.0) prior to IHC staining.
Immunofluorescence analysis of Rat heart tissue using MTCO2 Rabbit pAb (CAB11522) at a dilution of 1:100 (40x lens). Secondary antibody: Cy3-conjugated Goat anti-Rabbit IgG (H+L)(CABS007) at 1:500 dilution. Blue: DAPI for nuclear staining. High pressure antigen retrieval performed with 0.01M Citrate Buffer (pH 6.0) prior to IF staining.