Myc tag Monoclonal antibody is a premium monoclonal that offers outstanding performance and reliability for demanding research applications. Rigorously validated for ELISA, WB, IF, IP, this antibody ensures consistent, reproducible results across multiple experimental platforms. Conveniently packaged in 50ug format to meet your experimental needs. For optimal performance, store at Upon receipt, store at -20°C or -80°C. Avoid repeated freeze. and maintains stability for 12 months. Backed by rigorous quality control testing to ensure superior performance in your critical research applications.
Product Name:
Myc tag Monoclonal antibody
SKU:
MACO0654
Size:
50μg
Isotype:
IgG1
Host Species:
Mouse
Reactivity:
N/A
Immunogen:
EQKLISEEDL (Myc) synthetic peptide conjugate to KLH
Form:
Liquid
Tested Applications:
ELISAWBIFIP
Recommended Dilution:
Application
Recommended Dilution
WB
1:500-1:5000
IF
1:100-1:300
IP
1:1000-1:1500
Synonyms:
bHLHe39, c Myc, MRTL, MYC, Myc proto oncogene protein, MYC tag, Proto oncogene c Myc, Transcription factor p64
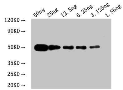
WB: Mouse anti Myc-tagged fusion protein Monoclonal antibody at 1.6µg/ml Lane 1: Recombinant Myc-tagged fusion protein at 50ng Lane 2: Recombinant Myc-tagged fusion protein at 25ng Lane 3: Recombinant Myc-tagged fusion protein at 12.25ng Lane 4: Recombinant Myc-tagged fusion protein at 6.25ng Lane 5: Recombinant Myc-tagged fusion protein at 3.125ng Lane 6: Recombinant Myc-tagged fusion protein at 1.5625ng Secondary Goat polyclonal to Mouse IgG at 1/50000 dilution Predicted band size: 50 kd Observed band size: 50 kd
Immunofluorescence staining of transfected HEK293 cells with MACO0654 at 1:100, counter-stained with DAPI. The cells were fixed in 4% formaldehyde, permeabilized using 0.2% Triton X-100 and blocked in 10% normal Goat Serum. The cells were then incubated with the antibody overnight at 4°C. The secondary antibody was Alexa Fluor 488-congugated AffiniPure Goat Anti-Mouse IgG(H+L).
Immunoprecipitating MYC-tag with transfected HEK293 Lane 1: Mouse control IgG (1µg) instead of MACO0654 in transfected HEK293 whole cell lysate. For western blotting, a HRP-conjugated Protein G antibody was used as the secondary antibody (1/2000) Lane 2: MACO0654 (6µg) + transfected HEK293 whole cell lysate (1mg) Lane 3: Transfected HEK293 whole cell lysate (10µg)