The MZT2B Antibody (CAB9984) is a high-quality antibody developed for reliable detection and analysis of target proteins. This antibody, produced in rabbits, exhibits high reactivity with human samples and has been validated for use in Western blot applications. By binding to the MZT2B protein, this antibody enables precise detection and analysis in various cell types, making it ideal for investigations in molecular biology and cell signaling pathways.
This antibody is validated for use in WB, ELISA applications and has demonstrated reactivity against Human samples.
Product Name:
MZT2B Antibody
SKU:
CAB9984
Size:
20μL, 100μL
Reactivity:
Human
Conjugate:
Unconjugated
Immunogen:
Recombinant protein (or fragment).This information is considered to be commercially sensitive.
Recommended starting concentration is 1 μg/mL. Please optimize the concentration based on your specific assay requirements.
Synonyms:
FAM128B, MOZART2B, MZT2B
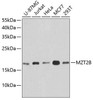
Positive Sample:
U-87MG, Jurkat, HeLa, MCF7, 293T
Cellular Localization:
Cytoplasm, Centrosome, Cytoskeleton, Microtubule Organizing Center, Spindle.
Calculated MW:
16kDa
Observed MW:
16kDa
Located in cytosol; microtubule cytoskeleton; and nucleoplasm. Part of gamma-tubulin large complex.
Purification Method
Affinity purification
Gene ID
80097
RRID
AB_2770509
Buffer Information
Store at -20℃. Avoid freeze / thaw cycles. Buffer: PBS containing 50% glycerol, preserved with proclin300 or sodium azide, pH 7.3.
Western blot analysis of various lysates using MZT2B Rabbit pAb (CAB9984) at 1:1000 dilution. Secondary antibody: HRP-conjugated Goat anti-Rabbit IgG (H+L) (CABS014) at 1:10000 dilution. Lysates/proteins: 25μg per lane. Blocking buffer: 3% nonfat dry milk in TBST. Detection: ECL Basic Kit (AbGn00020). Exposure time: 1s.