NAALADL2 Antibody is a premium polyclonal that offers outstanding performance and reliability for demanding research applications. Rigorously validated for ELISA, WB, IHC, IF, this antibody ensures consistent, reproducible results across multiple experimental platforms. Demonstrates excellent reactivity with Human, Mouse samples, providing researchers with confidence in cross-species compatibility. Conveniently packaged in 50ug format to meet your experimental needs. For optimal performance, store at -20°C or -80°C and maintains stability for 12 months. Backed by rigorous quality control testing to ensure superior performance in your critical research applications.
Product Name:
NAALADL2 Antibody
SKU:
PACO36230
Size:
50μg
Isotype:
IgG
Host Species:
Rabbit
Reactivity:
Human, Mouse
Immunogen:
Recombinant Human Inactive N-acetylated-alpha-linked acidic dipeptidase-like protein 2 protein (143-795AA)
Immunogen Species:
Homo sapiens (Human)
Uniprot No:
Q58DX5
Form:
Liquid
Tested Applications:
ELISAWBIHCIF
Recommended Dilution:
Application
Recommended Dilution
WB
1:2000-1:5000
IHC
1:20-1:200
IF
1:50-1:200
Synonyms:
Glutamate carboxypeptidase II type non peptidase homologue antibody, Inactive N acetylated alpha linked acidic dipeptidase like protein 2 antibody, Inactive N-acetylated-alpha-linked acidic dipeptidase-like protein 2 antibody, N acetylated alpha linked acidic dipeptidase like 2 antibody, NAALADase L2 antibody, NAALADL 2 antibody, NAALADL2 antibody, NADL2_HUMAN antibody
Western Blot Positive WB detected in: Mouse lung tissue, Mouse kidney tissue All lanes: NAALADL2 antibody at 3.5µg/ml Secondary Goat polyclonal to rabbit IgG at 1/50000 dilution Predicted band size: 89, 37 kDa Observed band size: 89 kDa
Immunofluorescent analysis of Hela cells using PACO36230 at dilution of 1:100 and Alexa Fluor 488-congugated AffiniPure Goat Anti-Rabbit IgG(H+L)
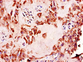
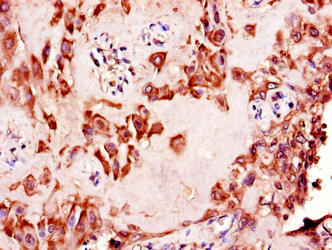
Immunohistochemistry of paraffin-embedded human placenta tissue using PACO36230 at dilution of 1:100