NADK2 Antibody is a premium polyclonal that offers outstanding performance and reliability for demanding research applications. Rigorously validated for ELISA, WB, IHC, this antibody ensures consistent, reproducible results across multiple experimental platforms. Demonstrates excellent reactivity with Human, Rat, Mouse samples, providing researchers with confidence in cross-species compatibility. Conveniently packaged in 50ug format to meet your experimental needs. For optimal performance, store at -20°C or -80°C and maintains stability for 12 months. Backed by rigorous quality control testing to ensure superior performance in your critical research applications.
Product Name:
NADK2 Antibody
SKU:
PACO58184
Size:
50μg
Isotype:
IgG
Host Species:
Rabbit
Reactivity:
Human, Rat, Mouse
Immunogen:
Recombinant Human NAD kinase 2, mitochondrial protein (16-156AA)
Immunogen Species:
Homo sapiens (Human)
Uniprot No:
Q4G0N4
Form:
Liquid
Tested Applications:
ELISAWBIHC
Recommended Dilution:
Application
Recommended Dilution
WB
1:500-1:5000
IHC
1:500-1:1000
Synonyms:
C5orf33 antibody, CE033_HUMAN antibody, Chromosome 5 open reading frame 33 antibody, FLJ30596 antibody, Hypothetical protein LOC133686 antibody, MGC43298 antibody, NADKD1 antibody, OTTHUMP00000161732 antibody, UPF0465 protein C5orf33 antibody
Western Blot Positive WB detected in: 293 whole cell lysate, HL60 whole cell lysate, Rat liver tissue, Mouse kidney tissue, Mouse liver tissue All lanes: NADK2 antibody at 4µg/ml Secondary Goat polyclonal to rabbit IgG at 1/50000 dilution Predicted band size: 50, 46, 32 kDa Observed band size: 50, 46 kDa
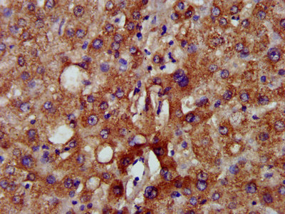
IHC image of PACO58184 diluted at 1:500 and staining in paraffin-embedded human liver tissue performed on a Leica BondTM system. After dewaxing and hydration, antigen retrieval was mediated by high pressure in a citrate buffer (pH 6.0). Section was blocked with 10% normal goat serum 30min at RT. Then primary antibody (1% BSA) was incubated at 4°C overnight. The primary is detected by a biotinylated secondary antibody and visualized using an HRP conjugated SP system.
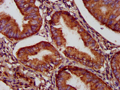
IHC image of PACO58184 diluted at 1:500 and staining in paraffin-embedded human endometrial cancer performed on a Leica BondTM system. After dewaxing and hydration, antigen retrieval was mediated by high pressure in a citrate buffer (pH 6.0). Section was blocked with 10% normal goat serum 30min at RT. Then primary antibody (1% BSA) was incubated at 4°C overnight. The primary is detected by a biotinylated secondary antibody and visualized using an HRP conjugated SP system.