NAGPA Antibody is a premium polyclonal that offers outstanding performance and reliability for demanding research applications. Rigorously validated for ELISA, WB, IHC, this antibody ensures consistent, reproducible results across multiple experimental platforms. Demonstrates excellent reactivity with Human samples, providing researchers with confidence in cross-species compatibility. Conveniently packaged in 50ug format to meet your experimental needs. For optimal performance, store at -20°C or -80°C and maintains stability for 12 months. Backed by rigorous quality control testing to ensure superior performance in your critical research applications.
Product Name:
NAGPA Antibody
SKU:
PACO59804
Size:
50μg
Isotype:
IgG
Host Species:
Rabbit
Reactivity:
Human
Immunogen:
Recombinant Human N-acetylglucosamine-1-phosphodiester alpha-N-acetylglucosaminidase protein (327-438AA)
Western Blot Positive WB detected in: SH-SY5Y whole cell lysate, PC-3 whole cell lysate, A549 whole cell lysate, HepG2 whole cell lysate All lanes: NAGPA antibody at 3.2µg/ml Secondary Goat polyclonal to rabbit IgG at 1/50000 dilution Predicted band size: 57, 53, 34 kDa Observed band size: 53 kDa
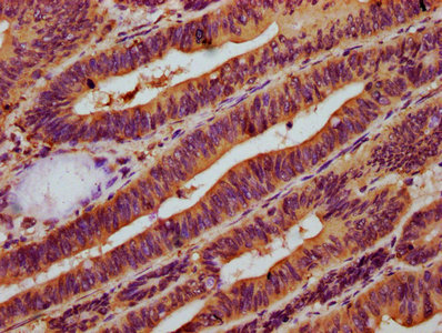
IHC image of PACO59804 diluted at 1:500 and staining in paraffin-embedded human colon cancer performed on a Leica BondTM system. After dewaxing and hydration, antigen retrieval was mediated by high pressure in a citrate buffer (pH 6.0). Section was blocked with 10% normal goat serum 30min at RT. Then primary antibody (1% BSA) was incubated at 4°C overnight. The primary is detected by a biotinylated secondary antibody and visualized using an HRP conjugated SP system.