The NAPG Antibody (CAB6432) is a high-quality antibody developed for reliable detection and analysis of target proteins. This antibody, generated in rabbits, shows high reactivity with human samples and is suitable for use in Western blot applications. By binding specifically to the NAPG protein, this antibody enables precise detection and analysis in various cell types, making it an essential component for studies in neuroscience and cell biology.NAPG, also known as N-ethylmaleimide-sensitive factor attachment protein gamma, plays a vital role in regulating the fusion of vesicles with membranes, a process essential for neurotransmitter release in the nervous system.
This antibody is validated for use in WB, ELISA applications and has demonstrated reactivity against Human, Mouse, Rat samples.
Product Name:
NAPG Antibody
SKU:
CAB6432
Size:
20μL, 100μL
Reactivity:
Human, Mouse, Rat
Conjugate:
Unconjugated
Immunogen:
Recombinant protein (or fragment).This information is considered to be commercially sensitive.
This gene encodes soluble NSF attachment protein gamma. The soluble NSF attachment proteins (SNAPs) enable N-ethyl-maleimide-sensitive fusion protein (NSF) to bind to target membranes. NSF and SNAPs appear to be general components of the intracellular membrane fusion apparatus, and their action at specific sites of fusion must be controlled by SNAP receptors particular to the membranes being fused. The product of this gene mediates platelet exocytosis and controls the membrane fusion events of this process.
Purification Method
Affinity purification
Gene ID
8774
RRID
AB_2767034
Buffer Information
Store at -20℃. Avoid freeze / thaw cycles. Buffer: PBS containing 50% glycerol, preserved with proclin300 or sodium azide, pH 7.3.
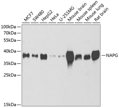
Western blot analysis of various lysates using NAPG Rabbit pAb (CAB6432) at 1:1000 dilution._Secondary antibody: HRP-conjugated Goat anti-Rabbit IgG (H+L) (CABS014) at 1:10000 dilution._Lysates/proteins: 25μg per lane._Blocking buffer: 3% nonfat dry milk in TBST._Detection: ECL Basic Kit (AbGn00020)._Exposure time: 90s.