The NDUFB11 Antibody (CAB15617) is a high-quality antibody developed for reliable detection and analysis of target proteins. This antibody, produced in rabbits, exhibits high specificity and sensitivity for human samples and has been tested for use in Western blot applications. By targeting the NDUFB11 protein, researchers can detect and analyze its expression in various cell types, providing insights into mitochondrial function and cellular metabolism.NDUFB11 is essential for the proper functioning of complex I, which is responsible for generating the majority of cellular ATP through oxidative phosphorylation. Dysregulation of complex I activity has been linked to various human diseases, including neurodegenerative disorders and metabolic syndromes.
This antibody is validated for use in WB, ELISA applications and has demonstrated reactivity against Human, Mouse, Rat samples.
Product Name:
NDUFB11 Antibody
SKU:
CAB15617
Size:
20μL, 100μL
Reactivity:
Human, Mouse, Rat
Conjugate:
Unconjugated
Immunogen:
Recombinant protein (or fragment).This information is considered to be commercially sensitive.
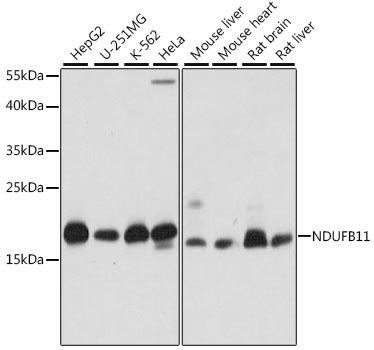
HepG2, U-251MG, K-562, HeLa, Mouse liver, Mouse heart, Rat brain, Rat liver
Cellular Localization:
Mitochondrial Inner Membrane, Mitochondrial Respiratory Chain Complex I, Mitochondrion.
Calculated MW:
17kDa
Observed MW:
17kDa
The protein encoded by this gene is a subunit of the multisubunit NADH:ubiquinone oxidoreductase (complex I). Mammalian complex I is located at the mitochondrial inner membrane. This protein has NADH dehydrogenase activity and oxidoreductase activity. It transfers electrons from NADH to ubiquinone. Mutations in the human gene are associated with linear skin defects with multiple congenital anomalies 3 and mitochondrial complex I deficiency.
Purification Method
Affinity purification
Gene ID
54539
RRID
AB_2763023
Buffer Information
Store at -20℃. Avoid freeze / thaw cycles. Buffer: PBS with 0.01% thimerosal,50% glycerol,pH7.3.
Western blot analysis of various lysates using NDUFB11 Rabbit pAb (CAB15617) at 1:1000 dilution. Secondary antibody: HRP-conjugated Goat anti-Rabbit IgG (H+L) (CABS014) at 1:10000 dilution. Lysates/proteins: 25μg per lane. Blocking buffer: 3% nonfat dry milk in TBST. Detection: ECL Basic Kit (AbGn00020). Exposure time: 1s.