The NFIC Polyclonal Antibody (CAB15074) is a valuable tool for researchers studying NFIC, a transcription factor involved in gene regulation and cell differentiation. This antibody, produced in rabbits, exhibits high specificity and sensitivity for human samples, making it ideal for use in Western blot applications.NFIC, also known as nuclear factor I C, plays a crucial role in the regulation of gene expression, particularly in the development and function of various tissues and organs. Dysregulation of NFIC has been implicated in a variety of diseases, including cancer, developmental disorders, and neurological conditions.
By targeting NFIC with this antibody, researchers can gain valuable insights into its function and potential therapeutic applications.This NFIC Polyclonal Antibody is a reliable tool for detecting and analyzing NFIC protein levels in different cell types and tissues, making it a valuable resource for studies in molecular biology, developmental biology, and cancer research. Its versatility and specificity make it an essential component of any research project aiming to dissect the complex regulatory networks controlled by NFIC.
Product Name:
NFIC Rabbit Polyclonal Antibody
SKU:
CAB15074
Size:
20uL, 100uL
Isotype:
IgG
Host Species:
Rabbit
Reactivity:
Human,Mouse,Rat
Immunogen:
Recombinant fusion protein containing a sequence corresponding to amino acids 1-220 of human NFIC (NP_005588.2).
The protein encoded by this gene belongs to the CTF/NF-I family. These are dimeric DNA-binding proteins, and function as cellular transcription factors and as replication factors for adenovirus DNA replication. Alternatively spliced transcript variants encoding different isoforms have been described for this gene.
Purification Method:
Affinity purification
Gene ID:
4782
Storage Buffer:
Store at -20℃. Avoid freeze / thaw cycles.Buffer: PBS with 0.01% thimerosal,50% glycerol,pH7.3.
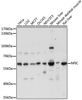
Western blot analysis of various lysates using NFIC Rabbit pAb (CAB15074) at 1:1000 dilution.Secondary antibody: HRP Goat Anti-Rabbit IgG (H+L) (CABS014) at 1:10000 dilution.Lysates/proteins: 25μg per lane.Blocking buffer: 3% nonfat dry milk in TBST.Detection: ECL Basic Kit (AbGn00020).Exposure time: 5s.