NOL4L Antibody is a premium polyclonal that offers outstanding performance and reliability for demanding research applications. Rigorously validated for ELISA, WB, IHC, IF, this antibody ensures consistent, reproducible results across multiple experimental platforms. Demonstrates excellent reactivity with Human samples, providing researchers with confidence in cross-species compatibility. Conveniently packaged in 50ug format to meet your experimental needs. For optimal performance, store at -20°C or -80°C and maintains stability for 12 months. Backed by rigorous quality control testing to ensure superior performance in your critical research applications.
Product Name:
NOL4L Antibody
SKU:
PACO40186
Size:
50μg
Isotype:
IgG
Host Species:
Rabbit
Reactivity:
Human
Immunogen:
Recombinant Human Nucleolar protein 4-like protein (101-300AA)
Immunogen Species:
Homo sapiens (Human)
Uniprot No:
Q96MY1
Form:
Liquid
Tested Applications:
ELISAWBIHCIF
Recommended Dilution:
Application
Recommended Dilution
WB
1:500-1:5000
IHC
1:20-1:200
IF
1:50-1:200
Synonyms:
C20orf112 antibody, C20orf113 antibody, Chromosome 20 open reading frame 112 antibody, CT112_HUMAN antibody, dJ1184F4.2 antibody, dJ1184F4.4 antibody, DKFZp566G1424 antibody, Hypothetical protein LOC140688 antibody, Uncharacterized protein C20orf112 antibody
Western blot All lanes: NOL4L antibody at 0.3µg/ml Lane 1: PC-3 whole cell lysate Lane 2: A549 whole cell lysate Lane 3: HepG2 whole cell lysate Lane 4: K562 whole cell lysate Secondary Goat polyclonal to rabbit IgG at 1/10000 dilution Predicted band size: 48, 44 kDa Observed band size: 48 kDa
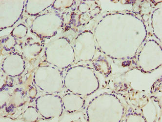
Immunohistochemistry of paraffin-embedded human thyroid tissue using PACO40186 at dilution of 1:100
Western Blot Positive WB detected in: A549 whole cell lysate All lanes: NOL4L antibody at 3µg/ml Secondary Goat polyclonal to rabbit IgG at 1/50000 dilution Predicted band size: 48, 44 kDa Observed band size: 48 kDa
Immunofluorescent analysis of Hela cells using PACO40186 at dilution of 1:100 and Alexa Fluor 488-congugated AffiniPure Goat Anti-Rabbit IgG(H+L)
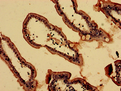
Immunohistochemistry analysis of human small intestine tissue using PACO40186 at dilution of 1:100