NOP53 Antibody is a premium polyclonal that offers outstanding performance and reliability for demanding research applications. Rigorously validated for ELISA, WB, IHC, this antibody ensures consistent, reproducible results across multiple experimental platforms. Demonstrates excellent reactivity with Human, Rat samples, providing researchers with confidence in cross-species compatibility. Conveniently packaged in 50ug format to meet your experimental needs. For optimal performance, store at -20°C or -80°C and maintains stability for 12 months. Backed by rigorous quality control testing to ensure superior performance in your critical research applications.
Product Name:
NOP53 Antibody
SKU:
PACO59493
Size:
50μg
Isotype:
IgG
Host Species:
Rabbit
Reactivity:
Human, Rat
Immunogen:
Recombinant Human Ribosome biogenesis protein NOP53 protein (227-405AA)
Immunogen Species:
Homo sapiens (Human)
Uniprot No:
Q9NZM5
Form:
Liquid
Tested Applications:
ELISAWBIHC
Recommended Dilution:
Application
Recommended Dilution
WB
1:500-1:5000
IHC
1:500-1:1000
Synonyms:
Glioma tumor suppressor candidate region gene 2 protein antibody, GLTSCR2 antibody, GSCR2_HUMAN antibody, p60 antibody, PICT1 antibody, protein interacting with carboxyl terminus 1 antibody
Western Blot Positive WB detected in: MCF-7 whole cell lysate, Rat heart tissue All lanes: NOP53 antibody at 4.8µg/ml Secondary Goat polyclonal to rabbit IgG at 1/50000 dilution Predicted band size: 55 kDa Observed band size: 55 kDa
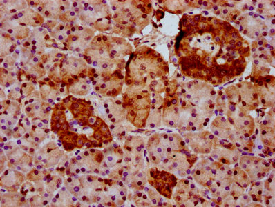
IHC image of PACO59493 diluted at 1:600 and staining in paraffin-embedded human pancreatic tissue performed on a Leica BondTM system. After dewaxing and hydration, antigen retrieval was mediated by high pressure in a citrate buffer (pH 6.0). Section was blocked with 10% normal goat serum 30min at RT. Then primary antibody (1% BSA) was incubated at 4°C overnight. The primary is detected by a biotinylated secondary antibody and visualized using an HRP conjugated SP system.