The Rev-Erbalpha/NR1D1 Antibody (CAB18602) is a high-quality antibody developed for reliable detection and analysis of target proteins. This rabbit-derived antibody is highly specific and reactive with human samples, making it an ideal choice for Western blot applications.NR1D1, also known as Rev-erb alpha, plays a crucial role in the regulation of various biological processes, including the sleep-wake cycle, metabolism, and immune function. Dysregulation of NR1D1 has been implicated in metabolic disorders, cardiovascular disease, and cancer, making it a promising target for therapeutic intervention.
This antibody is validated for use in WB, IHC-P, IF/ICC, ELISA applications and has demonstrated reactivity against Human, Mouse, Rat samples.
Product Name:
Rev-Erbalpha/NR1D1 Antibody
SKU:
CAB18602
Size:
20μL, 100μL
Reactivity:
Human, Mouse, Rat
Immunogen:
Recombinant protein (or fragment).This information is considered to be commercially sensitive.
This gene encodes a transcription factor that is a member of the nuclear receptor subfamily 1. The encoded protein is a ligand-sensitive transcription factor that negatively regulates the expression of core clock proteins. In particular this protein represses the circadian clock transcription factor aryl hydrocarbon receptor nuclear translocator-like protein 1 (ARNTL). This protein may also be involved in regulating genes that function in metabolic, inflammatory and cardiovascular processes.
Purification Method
Affinity purification
Gene ID
9572
RRID
AB_2862359
Buffer Information
Store at -20℃. Avoid freeze / thaw cycles. Buffer: PBS containing 50% glycerol, preserved with proclin300 or sodium azide, pH 7.3.
Western blot analysis of lysates from HepG2 cells, using Rev-Erbα/NR1D1 Rabbit pAb (CAB18602) at 1:1000 dilution. Secondary antibody: HRP-conjugated Goat anti-Rabbit IgG (H+L) (CABS014) at 1:10000 dilution. Lysates/proteins: 25μg per lane. Blocking buffer: 3% nonfat dry milk in TBST. Detection: ECL Basic Kit (AbGn00020). Exposure time: 180s.
Western blot analysis of lysates from Rat lung, using Rev-Erbα/NR1D1 Rabbit pAb (CAB18602) at 1:1000 dilution. Secondary antibody: HRP-conjugated Goat anti-Rabbit IgG (H+L) (CABS014) at 1:10000 dilution. Lysates/proteins: 25μg per lane. Blocking buffer: 3% nonfat dry milk in TBST. Detection: ECL Basic Kit (AbGn00020). Exposure time: 180s.
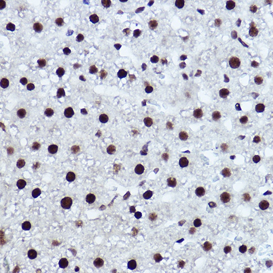
Immunohistochemistry analysis of paraffin-embedded Rat liver using Rev-Erbα/NR1D1 Rabbit pAb (CAB18602) at dilution of 1:100 (40x lens). High pressure antigen retrieval performed with 0.01M Citrate buffer (pH 6.0) prior to IHC staining.
Immunofluorescence analysis of NIH/3T3 cells using Rev-Erbα/NR1D1 Rabbit pAb (CAB18602) at dilution of 1:50 (40x lens). Secondary antibody: Cy3-conjugated Goat anti-Rabbit IgG (H+L) (CABS007) at 1:500 dilution. Blue: DAPI for nuclear staining.