The OTP Antibody (CAB13188) is a high-quality antibody developed for reliable detection and analysis of target proteins. These proteins play a key role in tumor progression and metastasis, making them attractive targets for cancer research. Raised in rabbits, this antibody is highly specific for human samples and has been validated for use in a variety of applications, including Western blotting.By binding specifically to the OTP proteins, this antibody enables the detection and analysis of these critical molecules in different cell types.
This antibody is validated for use in WB, IHC-P, ELISA applications and has demonstrated reactivity against Human, Mouse, Rat samples.
Product Name:
OTP Antibody
SKU:
CAB13188
Size:
20μL, 100μL
Reactivity:
Human, Mouse, Rat
Conjugate:
Unconjugated
Immunogen:
Recombinant protein (or fragment).This information is considered to be commercially sensitive.
Recommended starting concentration is 1 μg/mL. Please optimize the concentration based on your specific assay requirements.
Synonyms:
OTP
Positive Sample:
Mouse brain, Mouse heart, Rat brain, Rat heart
Cellular Localization:
Nucleus.
Calculated MW:
34kDa
Observed MW:
34-36kDa
This gene encodes a member of the homeodomain (HD) family. HD family proteins are helix-turn-helix transcription factors that play key roles in the specification of cell fates. This protein may function during brain development.
Purification Method
Affinity purification
Gene ID
23440
RRID
AB_2760039
Buffer Information
Store at -20℃. Avoid freeze / thaw cycles. Buffer: PBS with 0.01% thimerosal,50% glycerol,pH7.3.
Western blot analysis of various lysates using OTP Rabbit pAb (CAB13188) at 1:3000 dilution. Secondary antibody: HRP-conjugated Goat anti-Rabbit IgG (H+L) (CABS014) at 1:10000 dilution. Lysates/proteins: 25μg per lane. Blocking buffer: 3% nonfat dry milk in TBST. Detection: ECL Basic Kit (AbGn00020). Exposure time: 90s.
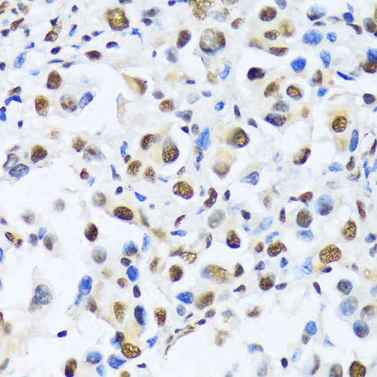
Immunohistochemistry analysis of paraffin-embedded Human lung cancer using OTP Rabbit pAb (CAB13188) at dilution of 1:100 (40x lens). Microwave antigen retrieval performed with 0.01M PBS Buffer (pH 7.2) prior to IHC staining.