The P2RY10 Antibody (CAB16517) is a high-quality antibody developed for reliable detection and analysis of target proteins. This antibody, produced in rabbits, is specifically designed to target human samples and has been validated for use in Western blot applications.P2RY10, also known as P2Y10, is a G protein-coupled receptor that responds to extracellular nucleotides, playing a role in regulating immune responses and inflammation.
This antibody is validated for use in WB, ELISA applications and has demonstrated reactivity against Human, Mouse, Rat samples.
Product Name:
P2RY10 Antibody
SKU:
CAB16517
Size:
20μL, 100μL
Reactivity:
Human, Mouse, Rat
Conjugate:
Unconjugated
Immunogen:
Synthetic peptide. This information is considered to be commercially sensitive.
Recommended starting concentration is 1 μg/mL. Please optimize the concentration based on your specific assay requirements.
Synonyms:
LPS2, P2Y10, LYPSR2, P2RY10
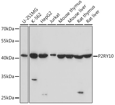
Positive Sample:
U-251MG, K-562, HepG2, Jurkat, Mouse thymus, Mouse liver, Rat thymus, Rat liver
Cellular Localization:
Cell Membrane, Multi-Pass Membrane Protein.
Calculated MW:
39kDa
Observed MW:
42kDa
The protein encoded by this gene belongs to the family of G-protein coupled receptors that are preferentially activated by adenosine and uridine nucleotides. There is a pseudogene for this gene nearby on chromosome X. Multiple alternatively spliced transcripts have been observed.
Purification Method
Affinity purification
Gene ID
27334
RRID
AB_2770760
Buffer Information
Store at -20℃. Avoid freeze / thaw cycles. Buffer: PBS with 0.01% thimerosal,50% glycerol,pH7.3.
Western blot analysis of various lysates using P2RY10 Rabbit pAb (CAB16517) at 1:1000 dilution. Secondary antibody: HRP-conjugated Goat anti-Rabbit IgG (H+L) (CABS014) at 1:10000 dilution. Lysates/proteins: 25μg per lane. Blocking buffer: 3% nonfat dry milk in TBST. Detection: ECL Basic Kit (AbGn00020). Exposure time: 45s.