The EBP1/PA2G4 Antibody (CAB14037) is a high-quality antibody developed for reliable detection and analysis of target proteins. This antibody, generated in rabbits, exhibits high reactivity with human samples and is suitable for use in Western blot applications. By binding specifically to the PA2G4 protein, this antibody allows for the detection and analysis of PA2G4 in various cell types, making it ideal for investigations in cell biology and cancer research.PA2G4, also known as EBP1, plays a crucial role in controlling cell growth and division, making it a key player in the regulation of cell proliferation.
This antibody is validated for use in WB, IHC-P, ELISA applications and has demonstrated reactivity against Human, Mouse, Rat samples.
Product Name:
EBP1/PA2G4 Antibody
SKU:
CAB14037
Size:
20μL, 100μL
Reactivity:
Human, Mouse, Rat
Conjugate:
Unconjugated
Immunogen:
Recombinant protein (or fragment).This information is considered to be commercially sensitive.
Recommended starting concentration is 1 μg/mL. Please optimize the concentration based on your specific assay requirements.
Synonyms:
EBP1, HG4-1, ITAF45, p38-2G4, G4
Positive Sample:
293T
Cellular Localization:
Cytoplasm, Nucleus, Nucleolus.
Calculated MW:
44kDa
Observed MW:
46kDa
This gene encodes an RNA-binding protein that is involved in growth regulation. This protein is present in pre-ribosomal ribonucleoprotein complexes and may be involved in ribosome assembly and the regulation of intermediate and late steps of rRNA processing. This protein can interact with the cytoplasmic domain of the ErbB3 receptor and may contribute to transducing growth regulatory signals. This protein is also a transcriptional co-repressor of androgen receptor-regulated genes and other cell cycle regulatory genes through its interactions with histone deacetylases. This protein has been implicated in growth inhibition and the induction of differentiation of human cancer cells. Six pseudogenes, located on chromosomes 3, 6, 9, 18, 20 and X, have been identified.
Purification Method
Affinity purification
Gene ID
5036
RRID
AB_2760892
Buffer Information
Store at -20℃. Avoid freeze / thaw cycles. Buffer: PBS containing 50% glycerol, preserved with proclin300 or sodium azide, pH 7.3.
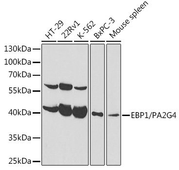
Western blot analysis of various lysates using [KO Validated] EBP1/PA2G4 Rabbit pAb (CAB14037) at 1:1000 dilution. Secondary antibody: HRP-conjugated Goat anti-Rabbit IgG (H+L) (CABS014) at 1:10000 dilution. Lysates/proteins: 25μg per lane. Blocking buffer: 3% nonfat dry milk in TBST.
Western blot analysis of lysates from wild type (WT) and EBP1/PA2G4 knockout (KO) 293T cells, using [KO Validated] EBP1/PA2G4 Rabbit pAb (CAB14037) at 1:1000 dilution. Secondary antibody: HRP-conjugated Goat anti-Rabbit IgG (H+L) (CABS014) at 1:10000 dilution. Lysates/proteins: 25μg per lane. Blocking buffer: 3% nonfat dry milk in TBST. Detection: ECL Basic Kit (AbGn00020). Exposure time: 5s.