The PDHB Antibody (CAB6943) is a high-quality antibody developed for reliable detection and analysis of target proteins. Raised in rabbits, this antibody exhibits high reactivity with human samples and has been validated for use in Western blot applications.PDHB is essential for aerobic respiration and energy production in cells, making it a critical player in metabolism and cellular function. Dysregulation of PDHB has been linked to various diseases, including cancer and metabolic disorders, highlighting the importance of studying its expression and activity.
This antibody is validated for use in WB, ELISA applications and has demonstrated reactivity against Human, Mouse, Rat samples.
Product Name:
PDHB Antibody
SKU:
CAB6943
Size:
20μL, 100μL
Reactivity:
Human, Mouse, Rat
Conjugate:
Unconjugated
Immunogen:
Recombinant protein (or fragment).This information is considered to be commercially sensitive.
Recommended starting concentration is 1 μg/mL. Please optimize the concentration based on your specific assay requirements.
Synonyms:
PDHBD, PHE1B, E1beta, PDHE1B, PDHE1-B, PDHB
Positive Sample:
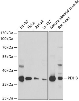
HL-60, HeLa, Jurkat, U-937, Mouse skeletal muscle, Rat heart
Cellular Localization:
Mitochondrion Matrix.
Calculated MW:
39kDa
Observed MW:
39kDa
The pyruvate dehydrogenase (PDH) complex is a nuclear-encoded mitochondrial multienzyme complex that catalyzes the overall conversion of pyruvate to acetyl-CoA and carbon dioxide, and provides the primary link between glycolysis and the tricarboxylic acid (TCA) cycle. The PDH complex is composed of multiple copies of three enzymatic components: pyruvate dehydrogenase (E1), dihydrolipoamide acetyltransferase (E2) and lipoamide dehydrogenase (E3). The E1 enzyme is a heterotetramer of two alpha and two beta subunits. This gene encodes the E1 beta subunit. Mutations in this gene are associated with pyruvate dehydrogenase E1-beta deficiency. Alternatively spliced transcript variants have been found for this gene.
Purification Method
Affinity purification
Gene ID
5162
RRID
AB_2767501
Buffer Information
Store at -20℃. Avoid freeze / thaw cycles. Buffer: PBS containing 50% glycerol, preserved with proclin300 or sodium azide, pH 7.3.
Western blot analysis of various lysates using PDHB Rabbit pAb (CAB6943) at 1:1000 dilution. Secondary antibody: HRP-conjugated Goat anti-Rabbit IgG (H+L) (CABS014) at 1:10000 dilution. Lysates/proteins: 25μg per lane. Blocking buffer: 3% nonfat dry milk in TBST. Detection: ECL Basic Kit (AbGn00020). Exposure time: 10s.