The PDK2 Monoclonal Antibody (CAB4737) is a high-quality antibody developed for reliable detection and analysis of target proteins. This antibody, produced using rabbit monoclonal technology, shows high specificity and sensitivity in detecting PDK2 protein in human samples, making it ideal for various research applications, including Western blot analysis.PDK2, also known as pyruvate dehydrogenase kinase 2, plays a vital role in the control of glucose metabolism and energy production in cells. Dysregulation of PDK2 activity has been linked to metabolic disorders, cancer, and other diseases, making it a potential therapeutic target.
This antibody is validated for use in WB, IHC-P, ELISA applications and has demonstrated reactivity against Human, Mouse, Rat samples.
Product Name:
PDK2 Monoclonal Antibody
SKU:
CAB4737
Size:
20μL, 100μL
Reactivity:
Human, Mouse, Rat
Clone Number:
ARC1113
Conjugate:
Unconjugated
Immunogen:
Synthetic peptide. This information is considered to be commercially sensitive.
Recommended starting concentration is 1 μg/mL. Please optimize the concentration based on your specific assay requirements.
Synonyms:
PDHK2, PDKII, PDK2
Positive Sample:
Mouse brain, Mouse heart, Rat heart
Cellular Localization:
Mitochondrion Matrix.
Calculated MW:
39kDa/46kDa
Observed MW:
46kDa
This gene encodes a member of the pyruvate dehydrogenase kinase family. The encoded protein phosphorylates pyruvate dehydrogenase, down-regulating the activity of the mitochondrial pyruvate dehydrogenase complex. Overexpression of this gene may play a role in both cancer and diabetes. Alternatively spliced transcript variants encoding multiple isoforms have been observed for this gene.
Purification Method
Affinity purification
Gene ID
5164
RRID
AB_2863336
Buffer Information
Store at -20℃. Avoid freeze / thaw cycles. Buffer: PBS containing 50% glycerol and 0.05% BSA, preserved with proclin300 or sodium azide, pH 7.3.
Western blot analysis of various lysates using PDK2 Rabbit mAb (CAB4737) at 1:1000 dilution. Secondary antibody: HRP-conjugated Goat anti-Rabbit IgG (H+L) (CABS014) at 1:10000 dilution. Lysates/proteins: 25μg per lane. Blocking buffer: 3% nonfat dry milk in TBST. Detection: ECL Enhanced Kit (AbGn00021). Exposure time: 3min.
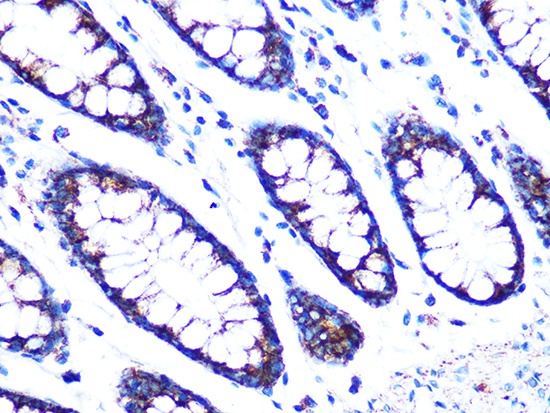
Immunohistochemistry analysis of paraffin-embedded Human colon using PDK2 Rabbit mAb (CAB4737) at dilution of 1:100 (40x lens). Microwave antigen retrieval performed with 0.01M PBS Buffer (pH 7.2) prior to IHC staining.