The PDZRN3 Antibody (PAC048170) is a valuable tool for researchers studying PDZRN3, a protein involved in diverse cellular processes such as cell cycle regulation, protein degradation, and signal transduction. This polyclonal antibody, generated in rabbits, exhibits high specificity and sensitivity in detecting PDZRN3 in human samples, making it ideal for use in Western blot applications. PDZRN3, also known as RNF163, is a RING-type E3 ubiquitin ligase that plays a crucial role in protein turnover and cellular signaling pathways. Dysregulation of PDZRN3 has been implicated in various diseases, including cancer, neurodegenerative disorders, and cardiovascular diseases.
By targeting PDZRN3, researchers can gain insight into its functions and potential therapeutic implications in these pathological conditions. The PDZRN3 Antibody offers a reliable tool for investigating the expression and localization of PDZRN3 in different cell types, providing valuable information for understanding its role in cellular processes and disease progression. Researchers in the fields of molecular biology, cell biology, and oncology can utilize this antibody to advance their studies and contribute to the development of targeted therapies for PDZRN3-related diseases.
Western Blot. Positive WB detected in: Mouse brain tissue. All lanes: PDZRN3 antibody at 3µg/ml. Secondary. Goat polyclonal to rabbit IgG at 1/50000 dilution. Predicted band size: 120, 39, 81 kDa. Observed band size: 120, 81, 39 kDa..
Immunofluorescent analysis of HepG2 cells using PACO48170 at dilution of 1:100 and Alexa Fluor 488-congugated AffiniPure Goat Anti-Rabbit IgG(H+L).
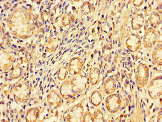
Immunohistochemistry of paraffin-embedded human gastric cancer using PACO48170 at dilution of 1:100.
Background:
E3 ubiquitin-protein ligase. Plays an important role in regulating the surface level of MUSK on myotubes. Mediates the ubiquitination of MUSK, promoting its endocytosis and lysosomal degradation. Might contribute to terminal myogenic differentiation (By similarity).
Synonyms:
E3 ubiquitin-protein ligase PDZRN3 (EC 2.3.2.27) (Ligand of Numb protein X 3) (PDZ domain-containing RING finger protein 3) (RING-type E3 ubiquitin transferase PDZRN3) (Semaphorin cytoplasmic domain-associated protein 3) (Protein SEMACAP3), PDZRN3, KIAA1095 LNX3 SEMCAP3
UniProt Protein Function:
PDZRN3: E3 ubiquitin-protein ligase. Plays an important role in regulating the surface level of MUSK on myotubes. Mediates the ubiquitination of MUSK, promoting its endocytosis and lysosomal degradation. Might contribute to terminal myogenic differentiation. 3 isoforms of the human protein are produced by alternative splicing.Protein type: EC 6.3.2.-; Ligase; Ubiquitin conjugating system; Ubiquitin ligaseChromosomal Location of Human Ortholog: 3p13Cellular Component: neuromuscular junctionMolecular Function: ubiquitin-protein ligase activityBiological Process: neuromuscular junction development; protein ubiquitination
UniProt Protein Details:
NCBI Summary:
This gene encodes a member of the LNX (Ligand of Numb Protein-X) family of RING-type ubiquitin E3 ligases. This protein may function in vascular morphogenesis and the differentiation of adipocytes, osteoblasts and myoblasts. This protein may be targeted for degradation by the human papilloma virus E6 protein. Alternative splicing results in multiple transcript variants. [provided by RefSeq, Dec 2014]