The PEX13 Polyclonal Antibody (PAC057376) is a valuable tool for researchers studying peroxisomal biogenesis and function. This antibody, generated in rabbits, has high specificity for human samples and has been validated for use in Western blot and immunofluorescence applications. By targeting the PEX13 protein, this antibody enables the detection and analysis of peroxisomes in various cell types, making it ideal for studies in cell biology and metabolic disorders.PEX13 is a key player in the import of proteins into peroxisomes, organelles involved in various metabolic processes, including the breakdown of fatty acids and the detoxification of harmful substances.
Dysfunction in peroxisomes has been linked to a range of genetic disorders, underscoring the importance of understanding PEX13 in normal cellular function. Research involving the PEX13 antibody may provide insights into the pathogenesis of peroxisomal disorders and potential therapeutic targets for these conditions.
Western Blot. Positive WB detected in: Rat brain tissue. All lanes: PEX13 antibody at 3.4µg/ml. Secondary. Goat polyclonal to rabbit IgG at 1/50000 dilution. Predicted band size: 45 kDa. Observed band size: 45 kDa.
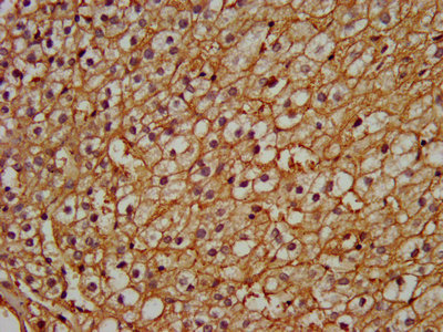
IHC image of PACO57376 diluted at 1:200 and staining in paraffin-embedded human adrenal gland tissue performed on a Leica BondTM system. After dewaxing and hydration, antigen retrieval was mediated by high pressure in a citrate buffer (pH 6.0). Section was blocked with 10% normal goat serum 30min at RT. Then primary antibody (1% BSA) was incubated at 4°C overnight. The primary is detected by a biotinylated secondary antibody and visualized using an HRP conjugated SP system.
Background:
Component of the peroxisomal translocation machinery with PEX14 and PEX17. Functions as a docking factor for the predominantly cytoplasmic PTS1 receptor (PAS10/PEX5). Involved in the import of PTS1 and PTS2 proteins.
Synonyms:
Peroxisomal membrane protein PEX13 (Peroxin-13), PEX13
UniProt Protein Function:
PEX13: Component of the peroxisomal translocation machinery with PEX14 and PEX17. Functions as a docking factor for the predominantly cytoplasmic PTS1 receptor (PAS10/PEX5). Involved in the import of PTS1 and PTS2 proteins. Defects in PEX13 are the cause of peroxisome biogenesis disorder complementation group 13 (PBD-CG13); also known as PBD-CGH. PBD-CG13 is a peroxisomal disorder arising from a failure of protein import into the peroxisomal membrane or matrix. The peroxisome biogenesis disorders (PBD group) are genetically heterogeneous with at least 14 distinct genetic groups as concluded from complementation studies. Include disorders are: Zellweger syndrome (ZWS), neonatal adrenoleukodystrophy (NALD), infantile Refsum disease (IRD), and classical rhizomelic chondrodysplasia punctata (RCDP). ZWS, NALD and IRD are distinct from RCDP and constitute a clinical continuum of overlapping phenotypes known as the Zellweger spectrum (PBD-ZSS). Defects in PEX13 are a cause of adrenoleukodystrophy neonatal (NALD). NALD is a peroxisome biogenesis disorder (PBD) characterized by the accumulation of very long- chain fatty acids, adrenal insufficiency and mental retardation. Belongs to the peroxin-13 family.Protein type: Membrane protein, integralChromosomal Location of Human Ortholog: 2p16.1Cellular Component: integral to peroxisomal membrane; intracellular membrane-bound organelle; membrane; peroxisomal membrane; peroxisomeMolecular Function: protein bindingBiological Process: cerebral cortex cell migration; fatty acid alpha-oxidation; locomotory behavior; microtubule-based peroxisome localization; neuron migration; positive regulation of defense response to virus by host; protein import into peroxisome matrix, docking; suckling behaviorDisease: Peroxisome Biogenesis Disorder 11a (zellweger); Peroxisome Biogenesis Disorder 11b
UniProt Protein Details:
NCBI Summary:
This gene encodes a peroxisomal membrane protein that binds the type 1 peroxisomal targeting signal receptor via a SH3 domain located in the cytoplasm. Mutations and deficiencies in peroxisomal protein importing and peroxisome assembly lead to peroxisomal biogenesis disorders, an example of which is Zellweger syndrome. [provided by RefSeq, Oct 2008]