Description
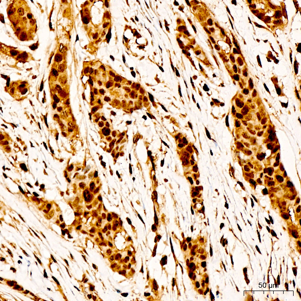
Phospho-BRCA1-S988 Antibody (CABP0318)
The Phospho-BRCA1-S988 Antibody (CABP0318) is a high-quality antibody developed for reliable detection and analysis of target proteins. This antibody, produced in rabbits, is highly specific to human samples and has been validated for use in Western blot applications.BRCA1, a key player in maintaining genomic stability, is known to be phosphorylated at serine 988, a modification that regulates its function in DNA repair processes. The Phospho-BRCA1 (S988) antibody enables the detection and analysis of this phosphorylated form of BRCA1 in a variety of cell types, providing insights into its role in DNA damage response mechanisms.
This antibody is validated for use in IHC-P, IF/ICC, ELISA applications and has demonstrated reactivity against Human samples.
| Product Name: | Phospho-BRCA1-S988 Antibody |
| SKU: | CABP0318 |
| Size: | 20μL, 100μL |
| Reactivity: | Human |
| Conjugate: | Unconjugated |
| Immunogen: | Synthetic peptide. This information is considered to be commercially sensitive. | ||||||
| Sequence: | IKSF V | ||||||
| Tested Applications: | IHC-P IF/ICC ELISA | ||||||
| Recommended Dilution: |
| ||||||
| Synonyms: | IRIS, PSCP, BRCAI, BRCC1, FANCS, PNCA4, RNF53, BROVCA1, PPP1R53, Phospho-BRCA1-S988 |
| Cellular Localization: | Chromosome, Cytoplasm, Cytoplasm, Nucleus. |
| Calculated MW: | 208kDa |
| Observed MW: | Refertofigures |
This gene encodes a 190 kD nuclear phosphoprotein that plays a role in maintaining genomic stability, and it also acts as a tumor suppressor. The BRCA1 gene contains 22 exons spanning about 110 kb of DNA. The encoded protein combines with other tumor suppressors, DNA damage sensors, and signal transducers to form a large multi-subunit protein complex known as the BRCA1-associated genome surveillance complex (BASC). This gene product associates with RNA polymerase II, and through the C-terminal domain, also interacts with histone deacetylase complexes. This protein thus plays a role in transcription, DNA repair of double-stranded breaks, and recombination. Mutations in this gene are responsible for approximately 40% of inherited breast cancers and more than 80% of inherited breast and ovarian cancers. Alternative splicing plays a role in modulating the subcellular localization and physiological function of this gene. Many alternatively spliced transcript variants, some of which are disease-associated mutations, have been described for this gene, but the full-length natures of only some of these variants has been described. A related pseudogene, which is also located on chromosome 17, has been identified.
| Purification Method | Affinity purification |
| Gene ID | 672 |
| RRID | AB_2770951 |
| Buffer Information | Store at -20℃. Avoid freeze / thaw cycles. Buffer: PBS containing 50% glycerol, preserved with proclin300 or sodium azide, pH 7.3. |

