The Phospho-Histone H3-T3 Antibody (CABP0846) is a high-quality antibody developed for reliable detection and analysis of target proteins. This antibody, raised in rabbits, specifically targets the phosphorylated form of Histone Hist1H3a at threonine 3 (T3) and is highly reactive with human samples. Validated for use in Western blot applications, it allows for the detection and analysis of histone modification in various cell types.Histone modifications, such as phosphorylation, play a critical role in chromatin remodeling and gene transcription regulation. The phosphorylation of Histone Hist1H3a at threonine 3 (T3) in particular has been implicated in processes like DNA repair, cell cycle progression, and apoptosis.
This antibody is validated for use in WB, ELISA applications and has demonstrated reactivity against Human, Mouse, Rat, Other (Wide Range Predicted) samples.
Product Name:
Phospho-Histone H3-T3 Antibody
SKU:
CABP0846
Size:
20μL, 100μL
Reactivity:
Human, Mouse, Rat, Other (Wide Range Predicted)
Conjugate:
Unconjugated
Immunogen:
Synthetic peptide. This information is considered to be commercially sensitive.
Sequence:
MART K
Tested Applications:
WBELISA
Recommended Dilution:
WB
1:500 - 1:2000
ELISA
Recommended starting concentration is 1 μg/mL. Please optimize the concentration based on your specific assay requirements.
HeLa treated with Nocodazole, NIH/3T3, C6, C6 treated with Nocodazole, 293T treated with Nocodazole, RAW264.7 treated with Nocodazole
Cellular Localization:
Chromosome, Nucleus.
Calculated MW:
15kDa
Observed MW:
17kDa
Histones are basic nuclear proteins that are responsible for the nucleosome structure of the chromosomal fiber in eukaryotes. This structure consists of approximately 146 bp of DNA wrapped around a nucleosome, an octamer composed of pairs of each of the four core histones (H2A, H2B, H3, and H4). The chromatin fiber is further compacted through the interaction of a linker histone, H1, with the DNA between the nucleosomes to form higher order chromatin structures. This gene is intronless and encodes a replication-dependent histone that is a member of the histone H3 family. Transcripts from this gene lack polyA tails; instead, they contain a palindromic termination element. This gene is found in the large histone gene cluster on chromosome 6p22-p21.3.
Purification Method
Affinity purification
Gene ID
8290 8350
RRID
AB_2771176
Buffer Information
Store at -20℃. Avoid freeze / thaw cycles. Buffer: PBS with 0.01% thimerosal,50% glycerol,pH7.3.
Western blot analysis of various lysates using Phospho-Histone H3-T3 pAb (CABP0846) at 1:1000 dilution. C6 and HeLa cells were treated with Nocodazole (50 ng/mL) at 37℃ for 20 hours. C6 and NIH/3T3 cells were treated with CIP(20uL/400ul) at 37℃ for 1 hour. Secondary antibody: HRP-conjugated Goat anti-Rabbit IgG (H+L) (CABS014) at 1:10000 dilution. Lysates/proteins: 25μg per lane. Blocking buffer: 3% nonfat dry milk in TBST. Detection: ECL Basic Kit (AbGn00020). Exposure time: 1s.
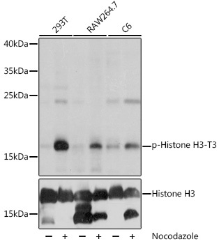
Western blot analysis of various lysates using Phospho-Histone H3-T3 pAb (CABP0846) at 1:1000 dilution or Histone H3 antibody (CAB2348). Both 293T cells and Raw264.7 cells were treated with Nocodazole (100 ng/mL) at 37℃ for 16 hours.C6 cells were treated with Nocodazole (50 ng/mL) at 37℃ for 20 hours. Secondary antibody: HRP-conjugated Goat anti-Rabbit IgG (H+L) (CABS014) at 1:10000 dilution. Lysates/proteins: 25μg per lane. Blocking buffer: 3% BSA. Detection: ECL Basic Kit (AbGn00020). Exposure time: 1s.