The Phospho-JAK2-Y1007/1008 Antibody (CABP0531) is a high-quality antibody developed for reliable detection and analysis of target proteins. This antibody, raised in rabbits, is highly specific for phosphorylated JAK2 at tyrosine residues 1007 and 1008, making it ideal for detecting and quantifying activated JAK2 in various cell types.Phosphorylation of JAK2 at Y1007/1008 is known to activate the protein, leading to downstream signaling cascades that regulate gene expression and cellular functions. Dysregulation of JAK2 phosphorylation is implicated in various diseases, including cancer, leukemia, and myeloproliferative disorders.
This antibody is validated for use in WB, IHC-P, ELISA applications and has demonstrated reactivity against Human, Mouse, Rat samples.
Product Name:
Phospho-JAK2-Y1007/1008 Antibody
SKU:
CABP0531
Size:
20μL, 100μL
Reactivity:
Human, Mouse, Rat
Conjugate:
Unconjugated
Immunogen:
Synthetic peptide. This information is considered to be commercially sensitive.
Sequence:
KEYY KV
Tested Applications:
WBIHC-PELISA
Recommended Dilution:
WB
1:500 - 1:1000
IHC-P
1:50 - 1:200
ELISA
Recommended starting concentration is 1 μg/mL. Please optimize the concentration based on your specific assay requirements.
This gene encodes a non-receptor tyrosine kinase that plays a central role in cytokine and growth factor signalling. The primary isoform of this protein has an N-terminal FERM domain that is required for erythropoietin receptor association, an SH2 domain that binds STAT transcription factors, a pseudokinase domain and a C-terminal tyrosine kinase domain. Cytokine binding induces autophosphorylation and activation of this kinase. This kinase then recruits and phosphorylates signal transducer and activator of transcription (STAT) proteins. Growth factors like TGF-beta 1 also induce phosphorylation and activation of this kinase and translocation of downstream STAT proteins to the nucleus where they influence gene transcription. Mutations in this gene are associated with numerous inflammatory diseases and malignancies. This gene is a downstream target of the pleiotropic cytokine IL6 that is produced by B cells, T cells, dendritic cells and macrophages to produce an immune response or inflammation. Disregulation of the IL6/JAK2/STAT3 signalling pathways produces increased cellular proliferation and myeloproliferative neoplasms of hematopoietic stem cells. A nonsynonymous mutation in the pseudokinase domain of this gene disrupts the domains inhibitory effect and results in constitutive tyrosine phosphorylation activity and hypersensitivity to cytokine signalling. This gene and the IL6/JAK2/STAT3 signalling pathway is a therapeutic target for the treatment of excessive inflammatory responses to viral infections. Alternative splicing results in multiple transcript variants encoding distinct isoforms.
Purification Method
Affinity purification
Gene ID
3717
RRID
AB_2771226
Buffer Information
Store at -20℃. Avoid freeze / thaw cycles. Buffer: PBS containing 50% glycerol, preserved with proclin300 or sodium azide, pH 7.3.
Western blot analysis of lysates from C6 cells, using Phospho-JAK2-Y1007/1008 Rabbit pAb (CABP0531) at 1:400 dilution. C6 cells were treated with Pervanadate (1 mM) at 37℃ for 30 minutes after serum-starvation overnight. Secondary antibody: HRP-conjugated Goat anti-Rabbit IgG (H+L) (CABS014) at 1:10000 dilution. Lysates/proteins: 25μg per lane. Blocking buffer: 3% nonfat dry milk in TBST. Detection: ECL Basic Kit (AbGn00020). Exposure time: 60s.
Immunohistochemistry analysis of paraffin-embedded Human liver cancer using Phospho-JAK2-Y1007/1008 Rabbit pAb (CABP0531) at dilution of 1:200 (40x lens). Microwave antigen retrieval performed with 0.01M Tris/EDTA Buffer (pH 9.0) prior to IHC staining.
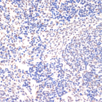
Immunohistochemistry analysis of paraffin-embedded Rat spleen using Phospho-JAK2-Y1007/1008 Rabbit pAb (CABP0531) at dilution of 1:200 (40x lens). Microwave antigen retrieval performed with 0.01M Tris/EDTA Buffer (pH 9.0) prior to IHC staining.