The Phospho-MAP2K1 (T286) Polyclonal Antibody (CABP0065) is a valuable tool for researchers studying MAP2K1 phosphorylation, a key event in signal transduction pathways regulating cellular processes such as proliferation, differentiation, and survival. This antibody, derived from rabbits, exhibits high specificity and sensitivity towards human samples, making it an excellent choice for Western blot analysis.MAP2K1, also known as MEK1, is a critical component of the MAPK/ERK signaling pathway, which is involved in various physiological and pathological processes, including cancer development and progression.
Phosphorylation of MAP2K1 at threonine 286 is known to play a crucial role in its activation, leading to downstream signaling cascades that regulate cell growth and survival.Researchers in the fields of cell biology, oncology, and signal transduction can utilize this antibody to study the dynamics of MAP2K1 phosphorylation and its impact on cellular functions. By understanding the regulatory mechanisms governing MAP2K1 activation, scientists can gain insights into disease mechanisms and potential therapeutic targets for cancer and other diseases.
Product Name:
Phospho-MEK1-T286 Rabbit Polyclonal Antibody
SKU:
CABP0065
Size:
20uL, 100uL
Isotype:
IgG
Host Species:
Rabbit
Reactivity:
Human,Mouse,Rat
Immunogen:
A synthetic phosphorylated peptide around T286 of human MEK1 (NP_002746.1).
Cytoplasm, Membrane, Nucleus, Peripheral membrane protein, centrosome, cytoskeleton, microtubule organizing center, spindle pole body.
Calculated MW:
43kDa
Observed MW:
43kDa
The protein encoded by this gene is a member of the dual specificity protein kinase family, which acts as a mitogen-activated protein (MAP) kinase kinase. MAP kinases, also known as extracellular signal-regulated kinases (ERKs), act as an integration point for multiple biochemical signals. This protein kinase lies upstream of MAP kinases and stimulates the enzymatic activity of MAP kinases upon wide variety of extra- and intracellular signals. As an essential component of MAP kinase signal transduction pathway, this kinase is involved in many cellular processes such as proliferation, differentiation, transcription regulation and development.
Purification Method:
Affinity purification
Gene ID:
5604
Storage Buffer:
Store at -20℃. Avoid freeze / thaw cycles.Buffer: PBS with 0.02% sodium azide,50% glycerol,pH7.3.
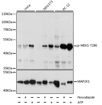
Western blot analysis of extracts of various cell lines, using Phospho-MEK1-T286 antibody (CABP0065) at 1:2000 dilution or MEK1 antibody (CAB12687). HeLa cells were treated by nocodazole (50 ng/mL) at 37℃ for 20 hours or treated by ATP(5 mM) at 30℃ for 1 hour. NIH/3T3 cells were treated by Nocodazole (50 ng/mL) at 37℃ for 20 hours or treated by ATP(5 mM) at 30℃ for 1 hour. PC-12 cells were treated by Nocodazole (1 μg/mL) at 37℃ for 16 hours or treated by ATP(5 mM) at 30℃ for 1 hour.Secondary antibody: HRP Goat Anti-Rabbit IgG (H+L) (CABS014) at 1:10000 dilution.Lysates/proteins: 25μg per lane.Blocking buffer: 3% BSA.Detection: ECL Basic Kit (AbGn00020).Exposure time: 30s.