The Phospho-POLR2A-S2 Monoclonal Antibody (CABP0996) is a high-quality antibody developed for reliable detection and analysis of target proteins. This antibody is raised in rabbits and has been validated for use in Western blotting, immunoprecipitation, and immunofluorescence assays. Polr2a, also known as RNA polymerase II, is a key enzyme involved in the transcription of protein-coding genes. Phosphorylation at serine 2 of Polr2a plays a crucial role in regulating transcription elongation and mRNA processing.
This antibody is validated for use in WB, IHC-P, IF/ICC, ChIP, ChIP-seq, ELISA, CUT&Tag applications and has demonstrated reactivity against Human, Mouse, Rat samples.
Product Name:
Phospho-POLR2A-S2 Monoclonal Antibody
SKU:
CABP0996
Size:
20μL, 100μL
Reactivity:
Human, Mouse, Rat
Clone Number:
ARC1540
Conjugate:
Unconjugated
Immunogen:
Synthetic peptide. This information is considered to be commercially sensitive.
Tested Applications:
WBIHC-PIF/ICCChIPChIP-seqELISACUT&Tag
Recommended Dilution:
WB
1:500 - 1:2000
IHC-P
1:50 - 1:200
IF/ICC
1:50 - 1:200
ELISA
Recommended starting concentration is 1 μg/mL. Please optimize the concentration based on your specific assay requirements.
This gene encodes the largest subunit of RNA polymerase II, the polymerase responsible for synthesizing messenger RNA in eukaryotes. The product of this gene contains a carboxy terminal domain composed of heptapeptide repeats that are essential for polymerase activity. These repeats contain serine and threonine residues that are phosphorylated in actively transcribing RNA polymerase. In addition, this subunit, in combination with several other polymerase subunits, forms the DNA binding domain of the polymerase, a groove in which the DNA template is transcribed into RNA.
Purification Method
Affinity purification
Gene ID
5430
RRID
AB_2863888
Buffer Information
Store at -20℃. Avoid freeze / thaw cycles. Buffer: PBS containing 50% glycerol and 0.05% BSA, preserved with proclin300 or sodium azide, pH 7.3.
Western blot analysis of various lysates using Phospho-POLR2A CTD-S2 Rabbit mAb (CABP0996) at 1:1000 dilution. MCF7 cells and HeLa cells and C2C12 cells were treated by CIP(20uL/400ul) at 37℃ for 1 hour. Secondary antibody: HRP-conjugated Goat anti-Rabbit IgG (H+L) (CABS014) at 1:10000 dilution. Lysates/proteins: 25μg per lane. Blocking buffer: 3% BSA. Detection: ECL Basic Kit (AbGn00020). Exposure time: 10s.
Western blot analysis of lysates from C6 cells, using Phospho-POLR2A CTD-S2 Rabbit mAb (CABP0996) at 1:1000 dilution. C6 cells were treated by CIP(20uL/400ul) at 37℃ for 1 hour. Secondary antibody: HRP-conjugated Goat anti-Rabbit IgG (H+L) (CABS014) at 1:10000 dilution. Lysates/proteins: 25μg per lane. Blocking buffer: 3% BSA. Detection: ECL Basic Kit (AbGn00020). Exposure time: 1min.
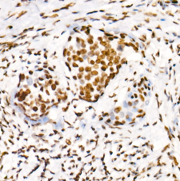
Immunohistochemistry analysis of paraffin-embedded Human cervix cancer using Phospho-POLR2A CTD-S2 Rabbit mAb (CABP0996) at dilution of 1:200 (40x lens). High pressure antigen retrieval performed with 0.01M Citrate buffer (pH 6.0) prior to IHC staining.
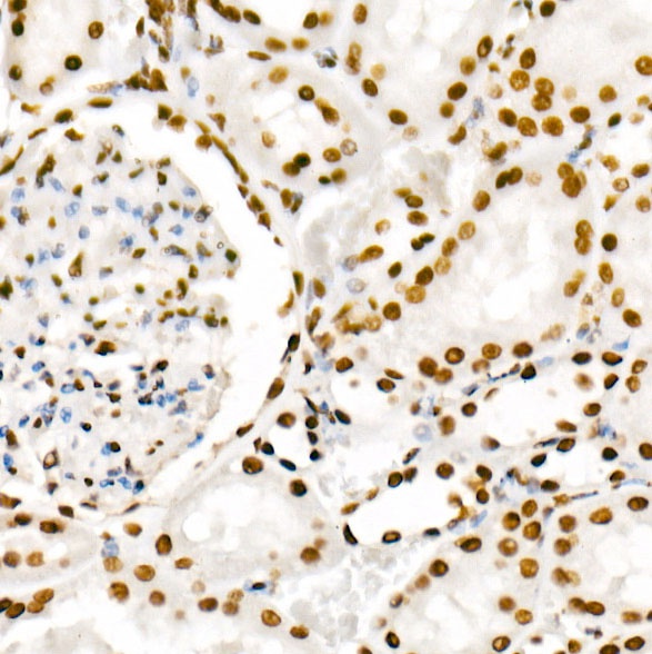
Immunohistochemistry analysis of paraffin-embedded Rat kidney using Phospho-POLR2A CTD-S2 Rabbit mAb (CABP0996) at dilution of 1:200 (40x lens). High pressure antigen retrieval performed with 0.01M Citrate buffer (pH 6.0) prior to IHC staining.
Immunofluorescence analysis of A-549 cells using Phospho-POLR2A CTD-S2 Rabbit mAb (CABP0996) at dilution of 1:100 (40x lens). Secondary antibody: Cy3-conjugated Goat anti-Rabbit IgG (H+L) (CABS007) at 1:500 dilution. Blue: DAPI for nuclear staining.
Immunofluorescence analysis of NIH/3T3 cells using Phospho-POLR2A CTD-S2 Rabbit mAb (CABP0996) at dilution of 1:100 (40x lens). Secondary antibody: Cy3-conjugated Goat anti-Rabbit IgG (H+L) (CABS007) at 1:500 dilution. Blue: DAPI for nuclear staining.
Immunofluorescence analysis of PC-12 cells using Phospho-POLR2A CTD-S2 Rabbit mAb (CABP0996) at dilution of 1:100 (40x lens). Secondary antibody: Cy3-conjugated Goat anti-Rabbit IgG (H+L) (CABS007) at 1:500 dilution. Blue: DAPI for nuclear staining.
Chromatin immunoprecipitations were performed with cross-linked chromatin from 293F cells and Phospho-POLR2A-S2 (CABP0996). The ChIP sequencing results indicate the enrichment pattern of Phospho-POLR2A-S2 in selected genomic region and representative gene loci (GAPDH), as shown in figure.
Chromatin immunoprecipitations were performed with cross-linked chromatin from 293F cells and Phospho-POLR2A-S2 (CABP0996). The ChIP sequencing results indicate the enrichment pattern of Phospho-POLR2A-S2 in selected genomic region and representative gene loci (GAPDH), as shown in figure.
CUT&Tag was performed using the CUT&Tag Assay Kit(pAG-Tn5) forIllumina (RK20265) from 10⁵ Hela cells with 1μg Phospho-POLR2A CTD-S2 Rabbit mAb(CABP0996), along with a Goat Anti-Rabbit IgG(H+L). The CUT&Tag results indicate the enrichment pattern of Phospho-POLR2A CTD-S2 in representative gene loci(GAPDH).