The Phospho-Vimentin-S39 Antibody (CABP0806) is a high-quality antibody developed for reliable detection and analysis of target proteins. This antibody, raised in rabbits, is highly specific to phosphorylated Vimentin at serine 39 and is validated for use in various applications including Western blot and immunofluorescence.Vimentin is a key regulator of cellular processes such as cell adhesion, migration, and signaling, making it a crucial player in cancer progression, metastasis, and other cellular activities. Phosphorylation at serine 39 has been linked to changes in Vimentin function and cellular processes, making this antibody an essential tool for investigating the role of phosphorylated Vimentin in cancer biology and other diseases.
This antibody is validated for use in WB, IHC-P, ELISA applications and has demonstrated reactivity against Human, Mouse, Rat samples.
Product Name:
Phospho-Vimentin-S39 Antibody
SKU:
CABP0806
Size:
20μL, 100μL
Reactivity:
Human, Mouse, Rat
Conjugate:
Unconjugated
Immunogen:
Synthetic peptide. This information is considered to be commercially sensitive.
Sequence:
TYSL G
Tested Applications:
WBIHC-PELISA
Recommended Dilution:
WB
1:500 - 1:1000
IHC-P
1:50 - 1:100
ELISA
Recommended starting concentration is 1 μg/mL. Please optimize the concentration based on your specific assay requirements.
HeLa treated with Paclitaxel, HeLa treated with Hydroxyurea, NIH/3T3 treated with Calyculin A
Cellular Localization:
Cytoplasm.
Calculated MW:
54kDa
Observed MW:
57kDa
This gene encodes a type III intermediate filament protein. Intermediate filaments, along with microtubules and actin microfilaments, make up the cytoskeleton. The encoded protein is responsible for maintaining cell shape and integrity of the cytoplasm, and stabilizing cytoskeletal interactions. This protein is involved in neuritogenesis and cholesterol transport and functions as an organizer of a number of other critical proteins involved in cell attachment, migration, and signaling. Bacterial and viral pathogens have been shown to attach to this protein on the host cell surface. Mutations in this gene are associated with congenital cataracts in human patients.
Purification Method
Affinity purification
Gene ID
7431
RRID
AB_2771645
Buffer Information
Store at -20℃. Avoid freeze / thaw cycles. Buffer: PBS with 0.01% thimerosal,50% glycerol,pH7.3.
Western blot analysis of lysates from HeLa cells, using Phospho-Vimentin-S39 Rabbit pAb (CABP0806) at 1:1000 dilution. HeLa cells were treated with Paclitaxel (100 nM/ml) at 37℃ for 20 hours. HeLa cells were treated with Hydroxyurea (4 mM) at 37℃ for 20 hours. Secondary antibody: HRP-conjugated Goat anti-Rabbit IgG (H+L) (CABS014) at 1:10000 dilution. Lysates/proteins: 25μg per lane. Blocking buffer: 3% nonfat dry milk in TBST. Detection: ECL Basic Kit (AbGn00020). Exposure time: 180s.
Western blot analysis of lysates from NIH/3T3 cells using Phospho-Vimentin-S39 Rabbit pAb (CABP0806) at 1:1000 dilution incubated overnight at 4℃. NIH/3T3 cells were treated with Calyculin A (200 nM) for 30 minutes after serum starvation overnight. Secondary antibody: HRP-conjugated Goat anti-Rabbit IgG (H+L) (CABS014) at 1:10000 dilution. Lysates/proteins: 30 μg per lane. Blocking buffer: 3 % nonfat dry milk in TBST. Detection: ECL Basic Kit (AbGn00020). Exposure time: 10 s.
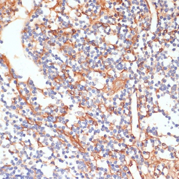
Immunohistochemistry analysis of paraffin-embedded Human appendix using Phospho-Vimentin-S39 Rabbit pAb (CABP0806) at dilution of 1:100 (40x lens). Microwave antigen retrieval performed with 0.01M Tris/EDTA Buffer (pH 9.0) prior to IHC staining.