The Phosphoserine Monoclonal Antibody (MAC0142) is a critical tool for researchers studying phosphoserine, a key post-translational modification involved in signal transduction pathways and protein function regulation. This monoclonal antibody, produced using hybridoma technology, shows high specificity and sensitivity for phosphoserine residues in various biological samples.Phosphoserine, a form of serine phosphorylated at the hydroxyl group, plays a crucial role in regulating protein activity, localization, and interactions within cells. The MAC0142 antibody targets phosphoserine residues, enabling researchers to study protein phosphorylation events and their impact on cellular processes.
This antibody is validated for use in applications such as immunofluorescence, immunohistochemistry, and flow cytometry, making it versatile for different experimental needs.The ability to detect and quantify phosphoserine levels in cells and tissues is essential for understanding the molecular mechanisms underlying various diseases, including cancer, neurodegenerative disorders, and metabolic conditions. By using the MAC0142 antibody, researchers can gain valuable insights into the role of phosphoserine in these pathological processes and potentially identify novel therapeutic targets for intervention.
Product Name:
Anti-Phosphoserine Antibody
Product Sku:
MACO0142
Size:
50ug
Host Species:
Mouse
Tested Applications:
ELISA, WB, IHC
Recommended Dilutions:
WB:1:500-1:2000, IHC:1:100-1:300
Species Reactivity:
Human, Mouse, Rat, Hamster
Immunogen:
Purified Protein
Form:
Liquid
Storage Buffer:
PBS, pH 7.4, containing 0.02% sodium azide as Preservative and 50% Glycerol.
Purification Method:
The antibody was affinity-purified from mouse ascites by affinity-chromatography using specific immunogen.
Clonality:
Monoclonal
Isotype:
IgG
Conjugate:
Non-conjugated
Background:
Synonyms:
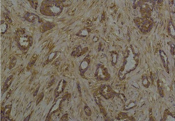
Immunohistochemical analysis of paraffin-embedded Human Lung Caricnoma using Phosphoserine Mouse mAb diluted at 1:200.
Immunohistochemical analysis of paraffin-embedded Human Breast Caricnoma using Phosphoserine Mouse mAb diluted at 1:200.
Western blot analysis of 1) Hela, 2)Rat Brain Tissue, 3) Mouse Brain Tissue with Phosphoserine Mouse mAb diluted at 1:2000.