The PHPT1 Antibody (CAB1127) is a high-quality antibody developed for reliable detection and analysis of target proteins. This antibody, produced in rabbits, demonstrates high reactivity with human samples and is optimized for use in Western blot applications. By binding specifically to the PHPT1 protein, researchers can detect and analyze PHPT1 expression in a variety of cell types, making it an essential tool for studies in biochemistry and cell signaling pathways.PHPT1 is known for its role in regulating cellular processes through the phosphorylation of histidine residues on target proteins.
This antibody is validated for use in WB, IHC-P, ELISA applications and has demonstrated reactivity against Human, Mouse, Rat samples.
Product Name:
PHPT1 Antibody
SKU:
CAB1127
Size:
20μL, 100μL
Reactivity:
Human, Mouse, Rat
Conjugate:
Unconjugated
Immunogen:
Recombinant protein (or fragment).This information is considered to be commercially sensitive.
Recommended starting concentration is 1 μg/mL. Please optimize the concentration based on your specific assay requirements.
Synonyms:
PHP, PHP14, CGI-202, HSPC141, HEL-S-132P, PHPT1
Positive Sample:
MCF7, A-549, THP-1
Cellular Localization:
Cytoplasm.
Calculated MW:
14kDa
Observed MW:
13kDa
This gene encodes an enzyme that catalyzes the reversible dephosphorylation of histidine residues in proteins. It may be involved in the dephosphorylation of G-beta and ATP citrate lyase and in negatively regulating CD4 T lymphocytes by dephosphorylation and inhibition of KCa3.1 channels. Alternative splicing results in multiple transcript variants.
Purification Method
Affinity purification
Gene ID
29085
RRID
AB_2758485
Buffer Information
Store at -20℃. Avoid freeze / thaw cycles. Buffer: PBS containing 50% glycerol, preserved with proclin300 or sodium azide, pH 7.3.
Western blot analysis of various lysates using PHPT1 Rabbit pAb (CAB1127) at 1:1000 dilution. Secondary antibody: HRP-conjugated Goat anti-Rabbit IgG (H+L) (CABS014) at 1:10000 dilution. Lysates/proteins: 25μg per lane. Blocking buffer: 3% nonfat dry milk in TBST. Detection: ECL Basic Kit (AbGn00020).
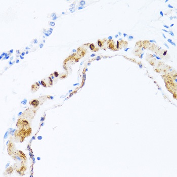
Immunohistochemistry analysis of paraffin-embedded Rat lung using PHPT1 Rabbit pAb (CAB1127) at dilution of 1:100 (40x lens). Microwave antigen retrieval performed with 0.01M PBS Buffer (pH 7.2) prior to IHC staining.
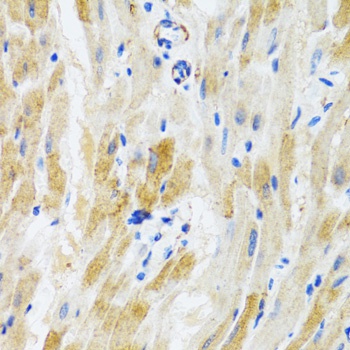
Immunohistochemistry analysis of paraffin-embedded Mouse heart using PHPT1 Rabbit pAb (CAB1127) at dilution of 1:100 (40x lens). Microwave antigen retrieval performed with 0.01M PBS Buffer (pH 7.2) prior to IHC staining.