The PIAS1 Antibody (CAB1007) is a high-quality antibody developed for reliable detection and analysis of target proteins. This antibody, produced in rabbits, exhibits high reactivity with human samples and is validated for use in Western blot applications. By targeting the PIAS1 protein, this antibody enables researchers to detect and analyze PIAS1 expression in various cell types, making it ideal for investigations in the fields of molecular biology and cancer research.PIAS1, also known as Protein Inhibitor of Activated STAT1, plays a crucial role in controlling gene transcription and protein modification processes, ultimately impacting cellular function and response to external stimuli.
This antibody is validated for use in WB, ELISA applications and has demonstrated reactivity against Human, Mouse, Rat samples.
Product Name:
PIAS1 Antibody
SKU:
CAB1007
Size:
20μL, 100μL
Reactivity:
Human, Mouse, Rat
Conjugate:
Unconjugated
Immunogen:
Recombinant protein (or fragment).This information is considered to be commercially sensitive.
Recommended starting concentration is 1 μg/mL. Please optimize the concentration based on your specific assay requirements.
Synonyms:
GBP, ZMIZ3, DDXBP1, GU/RH-II, PIAS1
Positive Sample:
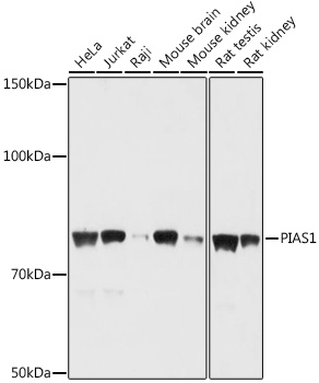
HeLa, Jurkat, Raji, Mouse brain, Mouse kidney, Rat testis, Rat kidney
Cellular Localization:
Nucleus, Nucleus Speckle, Pml Body.
Calculated MW:
72kDa
Observed MW:
76kDa
This gene encodes a member of the protein inhibitor of activated STAT (PIAS) family. PIAS proteins function as SUMO E3 ligases and play important roles in many cellular processes by mediating the sumoylation of target proteins. This protein plays a central role as a transcriptional coregulator of numerous cellular pathways includign the STAT1 and nuclear factor kappaB pathways. Alternate splicing results in multiple transcript variants.
Purification Method
Affinity purification
Gene ID
8554
RRID
AB_2757592
Buffer Information
Store at -20℃. Avoid freeze / thaw cycles. Buffer: PBS with 0.09% Sodium azide,50% glycerol,pH7.3.
Western blot analysis of various lysates using PIAS1 Rabbit pAb (CAB1007) at 1:1000 dilution. Secondary antibody: HRP-conjugated Goat anti-Rabbit IgG (H+L) (CABS014) at 1:10000 dilution. Lysates/proteins: 25μg per lane. Blocking buffer: 3% nonfat dry milk in TBST. Detection: ECL Basic Kit (AbGn00020). Exposure time: 10s.