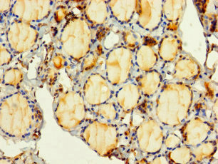
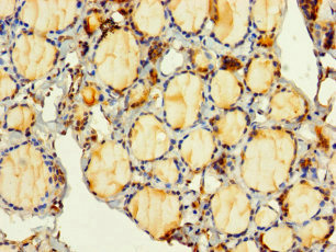
PITPNC1 Antibody is a premium polyclonal that offers outstanding performance and reliability for demanding research applications. Rigorously validated for ELISA, IHC, this antibody ensures consistent, reproducible results across multiple experimental platforms. Demonstrates excellent reactivity with Human samples, providing researchers with confidence in cross-species compatibility. Conveniently packaged in 50ug format to meet your experimental needs. For optimal performance, store at -20°C or -80°C and maintains stability for 12 months. Backed by rigorous quality control testing to ensure superior performance in your critical research applications.
Product Name:
PITPNC1 Antibody
SKU:
PACO42502
Size:
50μg
Isotype:
IgG
Host Species:
Rabbit
Reactivity:
Human
Immunogen:
Recombinant Human Cytoplasmic phosphatidylinositol transfer protein 1 protein (1-268AA)
Immunogen Species:
Homo sapiens (Human)
Uniprot No:
Q9UKF7
Form:
Liquid
Tested Applications:
ELISAIHC
Recommended Dilution:
Application
Recommended Dilution
IHC
1:20-1:200
Synonyms:
Cytoplasmic phosphatidylinositol transfer protein 1 antibody, M rdgB beta antibody, M-rdgB beta antibody, Mammalian rdgB homolog beta antibody, MrdgBbeta antibody, Phosphatidylinositol transfer protein cytoplasmic 1 antibody, PITC1_HUMAN antibody, pitpnc1 antibody, RDGB BETA antibody, RDGBB antibody, RDGBB1 antibody, RdgBbeta antibody, Retinal degeneration B beta 1 antibody, Retinal degeneration B homolog beta antibody